Endodoncia


Diagnóstico de dolor dental
Consiste en identificar la causa del dolor en un diente, ya sea por caries, infecciones u otras afecciones. Se realiza mediante exámenes clínicos, radiografías y pruebas de sensibilidad.


Evaluación de la vitalidad dental
Se determina si la pulpa del diente (el tejido interno) está viva o muerta. Esto se realiza mediante pruebas de sensibilidad térmica o eléctrica para evaluar la respuesta del diente.
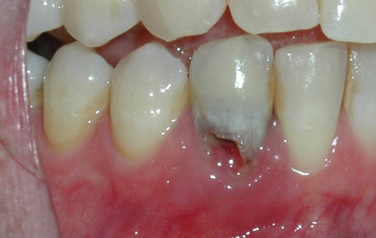
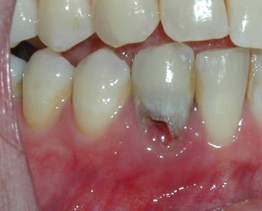
Se revisa si hay fracturas en la parte visible del diente. Las fracturas de la corona pueden ser causadas por trauma o caries extensas y pueden afectar el tratamiento endodóntico.


Evaluación de fracturas de la corona
Se identifica si hay fracturas en la raíz del diente, que pueden causar dolor, infecciones o problemas de estabilidad dental. Se utilizan radiografías y exámenes clínicos para este diagnóstico.


Evaluación de fracturas radiculares
Se analiza el estado de dientes que han recibido tratamientos endodónticos anteriores para verificar su éxito y determinar si se necesita un retratamiento.


Evaluación de dientes con tratamientos previos
Se detecta cuando el cuerpo empieza a descomponer el tejido óseo de la raíz del diente, lo que puede ser causado por trauma o enfermedades. Se requiere diagnóstico por imagen y evaluación clínica.


Diagnóstico de reabsorción radicular
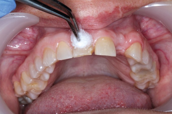
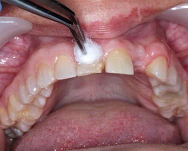
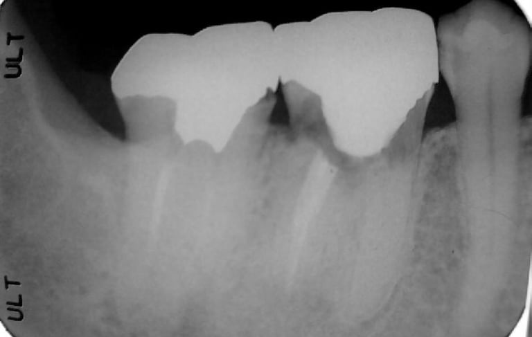
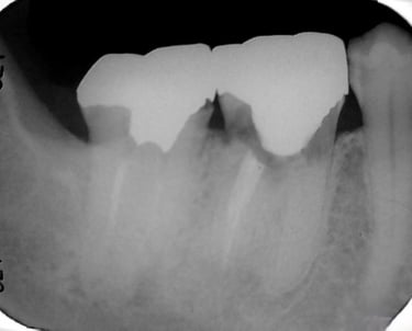
Es un procedimiento en el que se abre la cámara pulpar del diente para eliminar el tejido pulpar infectado o inflamado. Esto ayuda a aliviar el dolor y preparar el diente para un tratamiento de conducto.


Trepanación Pulpar (urgencia)
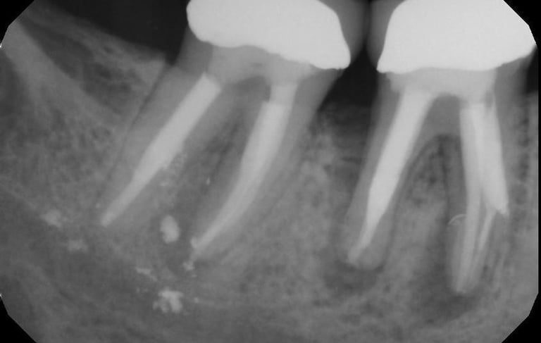
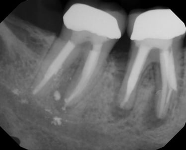
Es el procedimiento para limpiar, desinfectar y sellar los conductos internos del diente cuando la pulpa está infectada o inflamada. Es esencial para salvar el diente.


Tratamiento de Conducto
Se trata infecciones o abscesos que se forman en el tejido alrededor de la raíz del diente. Este tratamiento busca eliminar la infección y preservar el diente


Tratamiento de lesiones periapicales
Se maneja el daño causado a los dientes por golpes o accidentes. Puede incluir la reparación de fracturas, el tratamiento de la pulpa y la estabilización del diente afectado.


Tratamiento de traumatismos dentales
Se realiza cuando un tratamiento de conducto anterior no ha tenido éxito. Incluye la limpieza y desinfección de los conductos para solucionar problemas persistentes.


Retratamiento Endodóntico
Es una cirugía en la que se remueve la punta de la raíz del diente y el tejido infectado alrededor. Se realiza cuando el tratamiento de conducto no ha resuelto la infección.


Apicectomía
Se maneja cuando hay agujeros o perforaciones en las raíces del diente, que pueden causar infecciones. El tratamiento incluye sellar las perforaciones y restaurar la función del diente.


Tratamiento de perforaciones radiculares
Se trata de la acumulación de tejido calcificado dentro de los conductos radiculares, que puede dificultar el tratamiento. Se utilizan técnicas especiales para manejar estas calcificaciones.


Tratamiento de calcificaciones radiculares
Se aplican medicamentos dentro de los conductos radiculares para controlar infecciones y promover la curación. Estos medicamentos ayudan a desinfectar el área antes del sellado final.


Colocación de medicamentos intraconducto
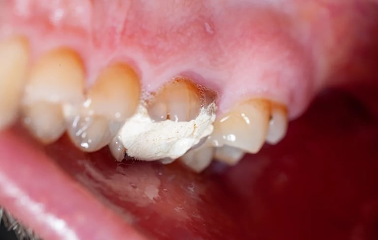
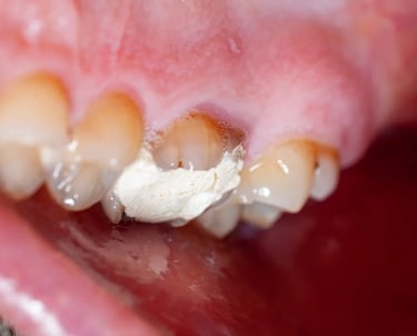
Se colocan en los conductos radiculares para proteger el diente entre sesiones de tratamiento. Ayudan a mantener la estructura del diente y prevenir la entrada de bacterias.


Colocación de rellenos temporales
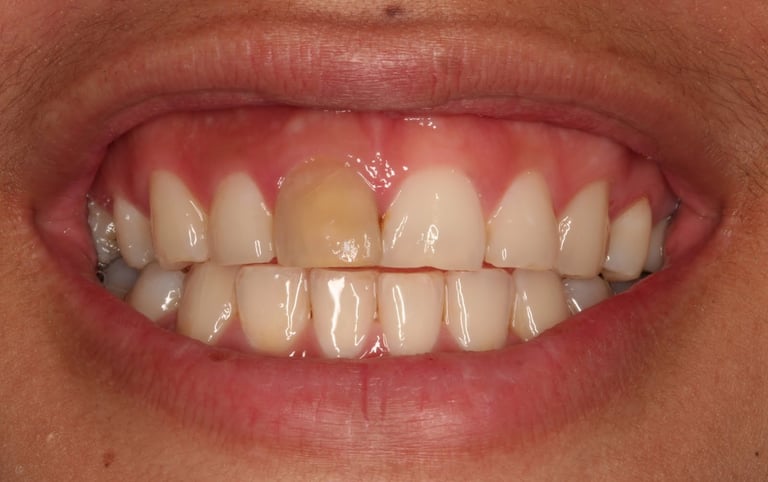
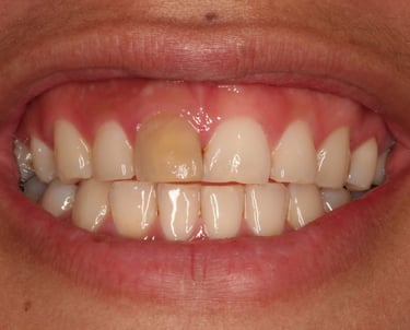
Se realiza cuando un diente se ha oscurecido debido a la muerte de la pulpa. Consiste en colocar un agente blanqueador dentro del diente para devolverle su color natural.


Blanqueamiento interno de dientes
Se emplea un microscopio quirúrgico para realizar procedimientos endodónticos con mayor precisión. Permite ver detalles pequeños y mejorar el éxito del tratamiento.


Uso de microscopio en endodoncia
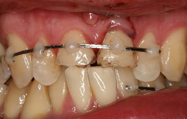
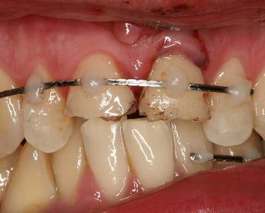
Incluye visitas posteriores al tratamiento para evaluar la recuperación del diente y asegurarse de que el tratamiento haya sido exitoso. Se revisan radiografías y se realiza un examen clínico.


Seguimiento postoperatorio endodóntico
Consiste en drenar el pus acumulado debido a infecciones en el diente o las encías. El objetivo es aliviar el dolor y eliminar la infección
Tratamiento de abscesos dentales
Se trata de una infección en el extremo de la raíz del diente que forma una acumulación de pus. El tratamiento incluye la limpieza y desinfección del conducto radicular y, en algunos casos, el drenaje del absceso.
Tratamiento de Absceso Periapical
Es una inflamación crónica en el extremo de la raíz del diente que forma una masa de tejido. El tratamiento incluye la eliminación del tejido infectado mediante un tratamiento de conducto y, en casos severos, cirugía apical
Tratamiento de Granuloma Apical
Sunshine Bay Residence
Equipped with full air conditioning, a private pool, 3 on-suite bedrooms, and a spacious open living room kitchen area, Sunshine Bay Residences is an excellent choice for anyone dreaming of their own safe haven.
Escribe tu texto aquí...
Sunshine Bay Residence
Equipped with full air conditioning, a private pool, 3 on-suite bedrooms, and a spacious open living room kitchen area, Sunshine Bay Residences is an excellent choice for anyone dreaming of their own safe haven.