Ortodoncia
"En el delicado arte de la Ortodoncia, alineamos sueños y sonrisas con precisión y armonía."
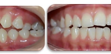
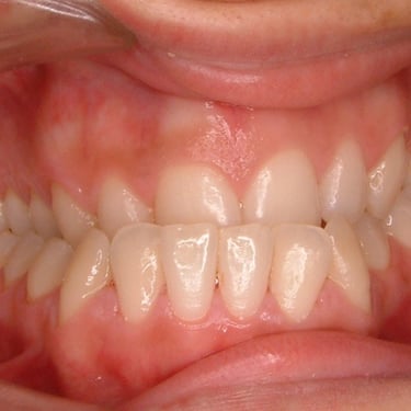
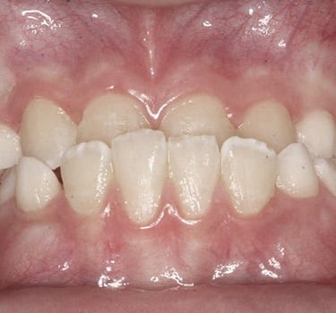
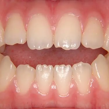
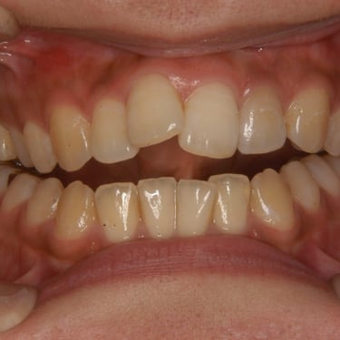
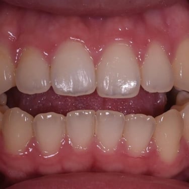
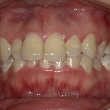
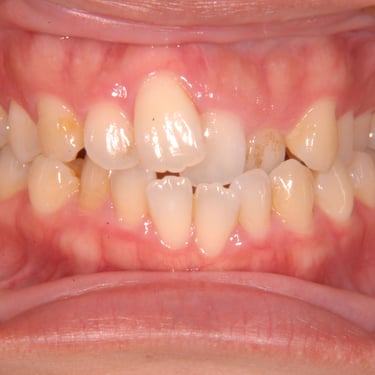
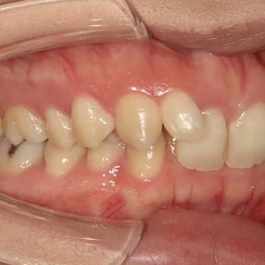
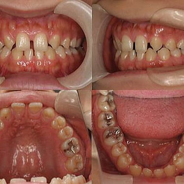
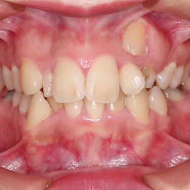
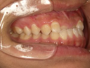
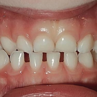
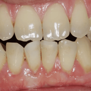
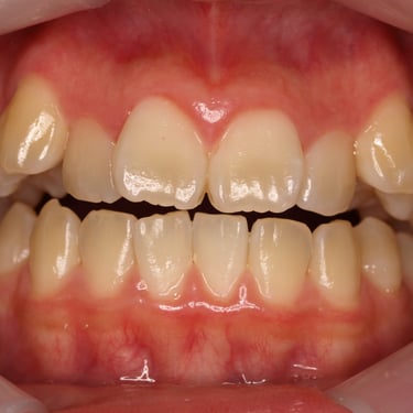
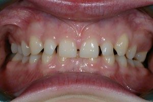
Maloclusión Clase I
La maloclusión Clase I es una alineación incorrecta de los dientes donde la mordida es normal, pero los dientes pueden estar apiñados, espaciados o torcidos.
Los pacientes pueden notar que sus dientes están torcidos o que tienen espacios entre ellos.
Es importante corregir esta condición para mejorar la función y la estética dental.








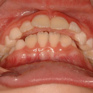
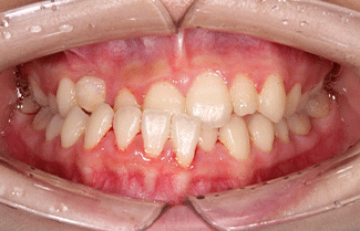
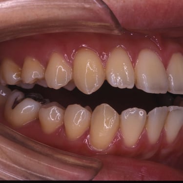
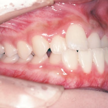
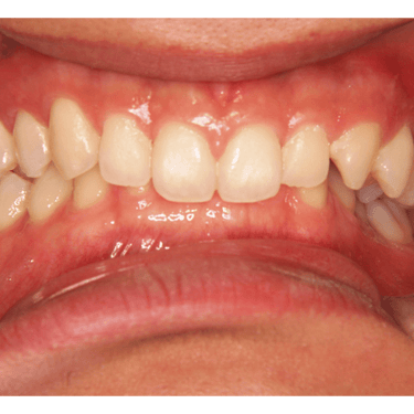
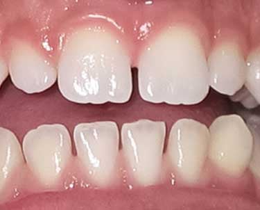
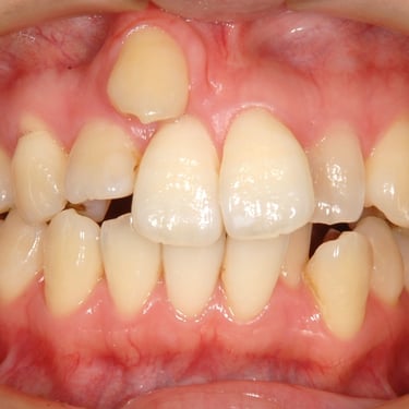
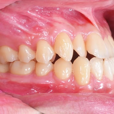
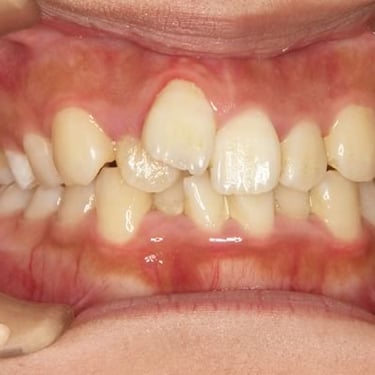
Maloclusión Clase II (Retrognatismo)
La maloclusión Clase II se caracteriza por un maxilar superior que sobresale más que el inferior, dando una apariencia de "sobremordida".
Los pacientes pueden notar que sus dientes superiores sobresalen significativamente sobre los inferiores.
Este tipo de maloclusión puede causar problemas de mordida y estética, y el tratamiento puede incluir el uso de aparatos ortodónticos.








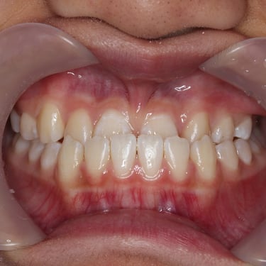
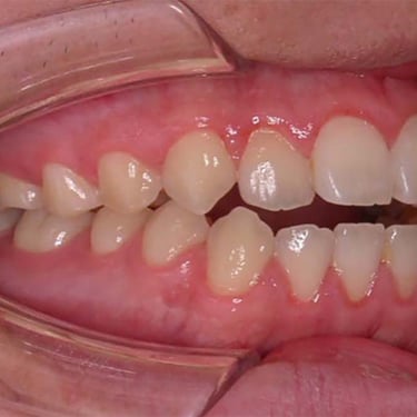
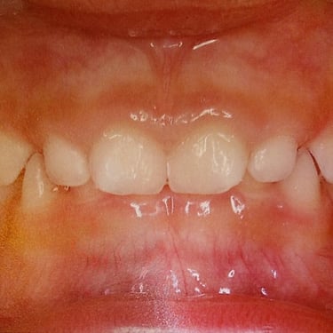
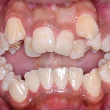
Maloclusión Clase III (Prognatismo)
La maloclusión Clase III se presenta cuando el maxilar inferior sobresale más que el superior, conocido comúnmente como "mordida cruzada anterior".
Los pacientes pueden notar que sus dientes inferiores se superponen a los superiores.
Esta condición puede afectar la masticación y el habla, y generalmente requiere tratamiento ortodóntico y, a veces, cirugía.








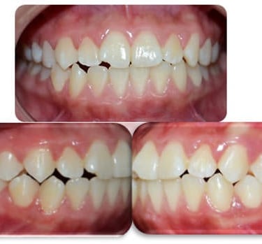
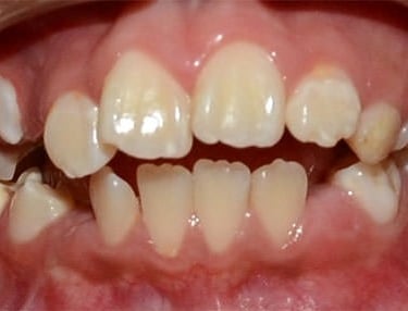
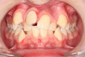
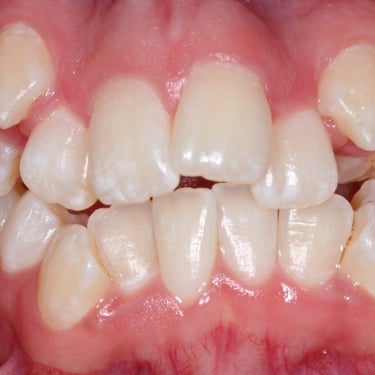
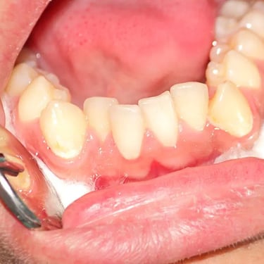
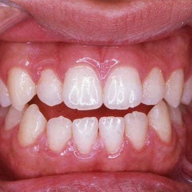
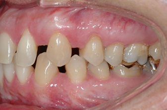
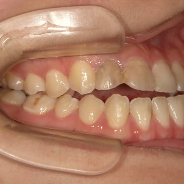
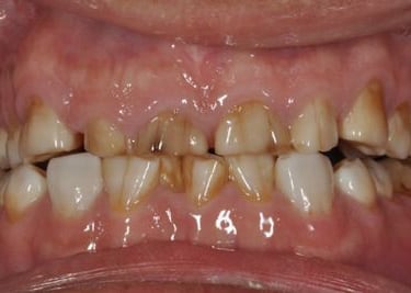
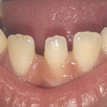
Apiñamiento dental
El apiñamiento dental ocurre cuando no hay suficiente espacio en la mandíbula para que los dientes se alineen correctamente.
Los pacientes pueden notar que sus dientes se superponen y están torcidos. Esta condición puede dificultar la higiene oral y aumentar el riesgo de caries y enfermedades de las encías.
El tratamiento incluye la expansión del arco dental y el uso de brackets.








Mordida abierta
La mordida abierta es una condición en la que los dientes superiores e inferiores no se tocan cuando la boca está cerrada.
Los pacientes pueden notar que hay un espacio abierto entre los dientes superiores e inferiores al morder. Esta condición puede afectar la masticación y el habla.
El tratamiento puede incluir el uso de aparatos ortodónticos y, en algunos casos, cirugía.








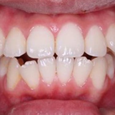
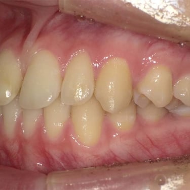
Mordida cruzada
La mordida cruzada ocurre cuando los dientes superiores muerden por dentro de los dientes inferiores.
Los pacientes pueden notar que algunos de sus dientes superiores se colocan detrás de los dientes inferiores al morder. Esta condición puede causar desgaste desigual de los dientes y problemas de mandíbula.
El tratamiento incluye el uso de aparatos ortodónticos para corregir la alineación.








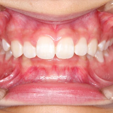
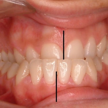
Sobremordida
La sobremordida es una condición en la que los dientes superiores cubren excesivamente a los inferiores.
Los pacientes pueden notar que sus dientes superiores cubren casi por completo a los inferiores. Esta condición puede causar desgaste dental y problemas de mandíbula.
El tratamiento incluye el uso de aparatos ortodónticos para ajustar la mordida.








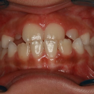
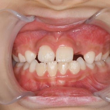
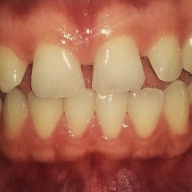
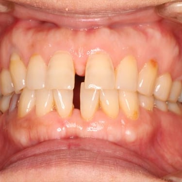
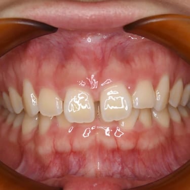
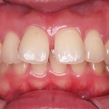
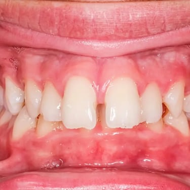
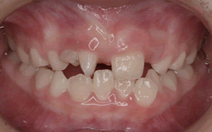
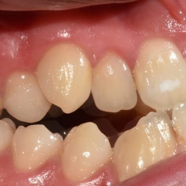
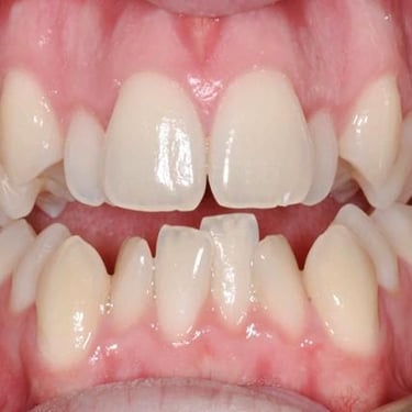
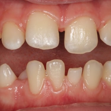
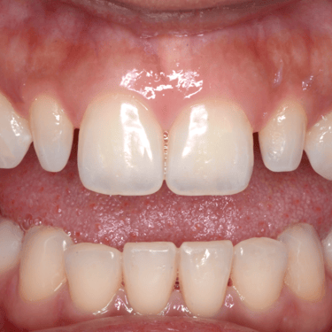
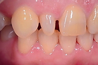
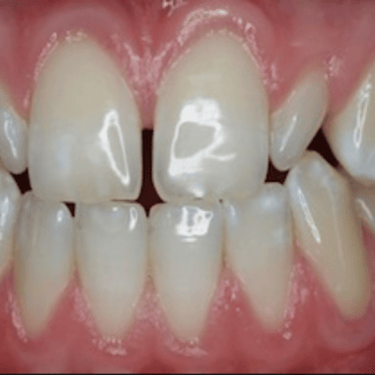
Diastema
El diastema es un espacio o separación entre dos dientes, comúnmente los dientes frontales superiores.
Los pacientes pueden notar un espacio visible entre sus dientes frontales. Esta condición puede ser causada por factores genéticos, hábitos como la succión del pulgar o un frenillo labial hipertrófico.
El tratamiento incluye el uso de aparatos ortodónticos para cerrar el espacio.








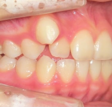
Rotación dental
La rotación dental ocurre cuando un diente gira fuera de su posición normal en el arco dental.
Los pacientes pueden notar que uno o más de sus dientes están girados. Esto puede afectar la estética y la mordida.
El tratamiento incluye el uso de brackets y otros aparatos ortodónticos para alinear los dientes correctamente.








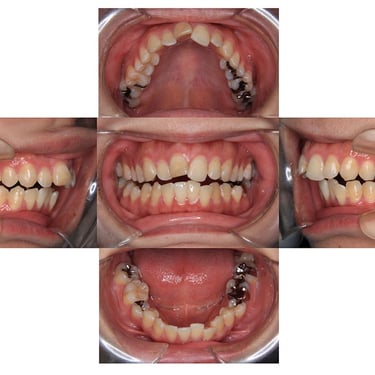
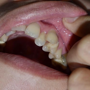
Dientes impactados
Los dientes impactados son dientes que no pueden erupcionar correctamente debido a la falta de espacio o a una obstrucción.
Los pacientes pueden notar que un diente no ha salido, aunque debería haberlo hecho. Esta condición es común con las muelas del juicio y los caninos superiores.
El tratamiento puede incluir la extracción del diente impactado o la creación de espacio para permitir su erupción.








Retrusión dental
La retrusión dental es una condición en la que los dientes anteriores superiores o inferiores están inclinados hacia atrás.
Los pacientes pueden notar que sus dientes frontales están inclinados hacia adentro.
Esto puede afectar la estética y la funcionalidad de la mordida. El tratamiento incluye el uso de aparatos ortodónticos para corregir la inclinación de los dientes.








Mordida borde a borde
La mordida borde a borde es una condición en la que los bordes de los dientes superiores e inferiores se tocan directamente al cerrar la boca.
Los pacientes pueden notar que sus dientes superiores e inferiores chocan al morder. Esta condición puede causar desgaste dental y problemas en la articulación temporomandibular.
El tratamiento incluye el uso de aparatos ortodónticos para corregir la alineación dental.








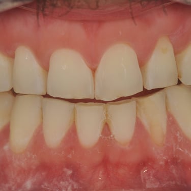
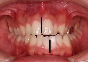
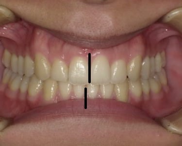
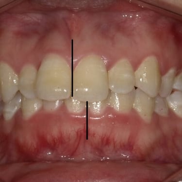
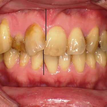
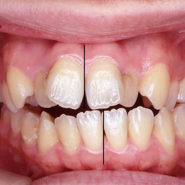
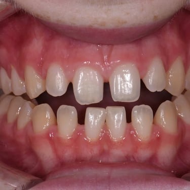
Desviación de la línea media
La desviación de la línea media es una desalineación de los dientes superiores e inferiores, donde la línea media dental no coincide con la línea media facial.
Los pacientes pueden notar que la línea central de sus dientes no está alineada con la línea central de su rostro. Esto puede ser estéticamente desagradable y afectar la mordida.
El tratamiento incluye el uso de aparatos ortodónticos para realinear la línea media.








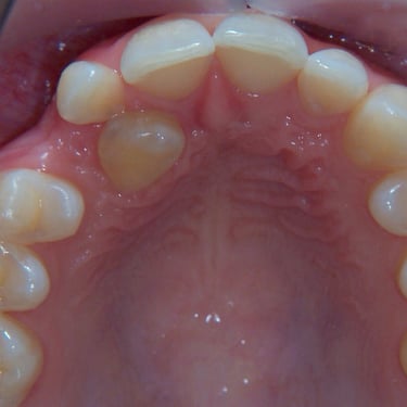
Macrodoncia
La macrodoncia es una condición en la que uno o más dientes son significativamente más grandes de lo normal.
Los pacientes pueden notar que algunos de sus dientes son desproporcionadamente grandes en comparación con los demás. Esta condición puede causar problemas de alineación y mordida.
El tratamiento puede incluir la reducción del tamaño del diente afectado o el uso de aparatos ortodónticos para acomodar los dientes grandes.








Microdoncia
La microdoncia es una condición en la que uno o más dientes son significativamente más pequeños de lo normal.
Los pacientes pueden notar que algunos de sus dientes son desproporcionadamente pequeños en comparación con los demás. Esto puede causar problemas estéticos y de mordida.
El tratamiento puede incluir el uso de coronas o carillas para aumentar el tamaño del diente afectado.







