Periodoncia


Evaluación y diagnóstico periodontal
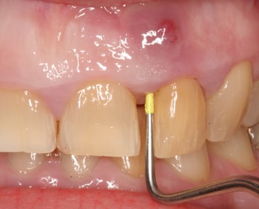
Se realiza un examen completo de las encías y los tejidos de soporte dental para identificar enfermedades periodontales y evaluar su gravedad. Esto incluye tomar radiografías y medir la profundidad de los surcos gingivales.
Incluye limpieza profesional y mejora de la higiene oral para reducir la inflamación y sangrado de las encías causado por la acumulación de placa.


Tratamiento de Gingivitis


Instrucción de Higiene Oral
Se educa al paciente sobre las técnicas correctas para cepillarse y usar hilo dental, así como sobre la importancia de mantener una buena higiene oral para prevenir enfermedades periodontales.


Profilaxis - Pulido coronario
Es una limpieza profesional de los dientes para eliminar placa y sarro de la superficie dental y las encías. Incluye el pulido de las coronas dentales para dejar las superficies más lisas y menos propensas a la acumulación de placa.


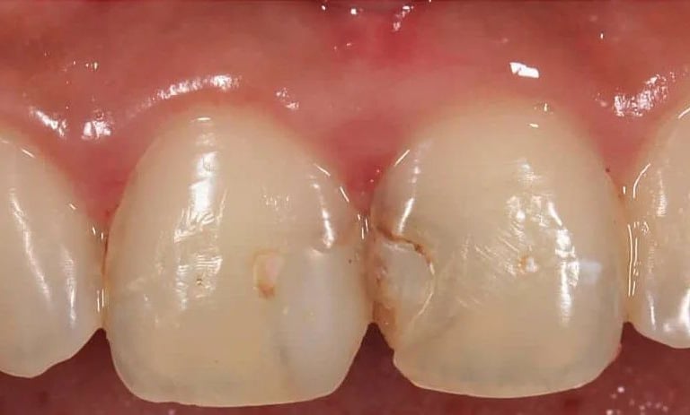
Destartraje supragingival
Consiste en eliminar el sarro y la placa que se acumulan sobre la línea de las encías. Se realiza con instrumentos manuales o ultrasonido para prevenir enfermedades periodontales.


Destartraje subgingival
Se enfoca en la limpieza de debajo de la línea de las encías para eliminar el sarro y la placa que no se puede ver a simple vista. Esto ayuda a reducir la inflamación y la infección de las encías.


Tratamiento de Periodontitis
Involucra la limpieza profunda de las bolsas periodontales, raspado y alisado radicular, y en casos avanzados, cirugía para detener la progresión de la enfermedad y salvar los dientes.


Evaluación de la movilidad dental
Se examina el grado de movimiento de los dientes, lo que puede indicar problemas en los tejidos de soporte. La movilidad dental excesiva puede ser un signo de enfermedad periodontal severa.
Se enfoca en la limpieza de debajo de la línea de las encías para eliminar el sarro y la placa que no se puede ver a simple vista. Esto ayuda a reducir la inflamación y la infección de las encías.


Pulido y Alisado Radicular


Eliminación de Factores locales de retención de Placa bacteriana
Consiste en identificar y eliminar elementos en la boca, como restos de alimentos o dientes rotos, tapaduras en mal estado que facilitan la acumulación de placa y contribuyen a enfermedades periodontales.


Colocación de férulas periodontales
Se utilizan dispositivos que estabilizan los dientes móviles y ayudan a mantenerlos en su lugar mientras se mejora la salud periodontal. Son especialmente útiles en casos de enfermedad periodontal avanzada.


Reevaluación Periodontal
Se realiza un seguimiento después del tratamiento inicial para evaluar la respuesta del tejido periodontal y ajustar el plan de tratamiento si es necesario. Permite verificar la efectividad de las intervenciones y la salud de las encías.
Es un procedimiento quirúrgico donde se levantan las encías para acceder a las raíces de los dientes y limpiar áreas profundas. Luego se reubican y se cosen las encías en su lugar para promover una mejor cicatrización.


Cirugía de Colgajo
Se refiere a una serie de procedimientos quirúrgicos destinados a mejorar la apariencia de las encías, corregir defectos y mejorar la estética dental. Incluye técnicas para reposicionar el tejido gingival y mejorar el contorno de las encías.


Cirugía Plástica Periodontal


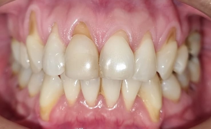
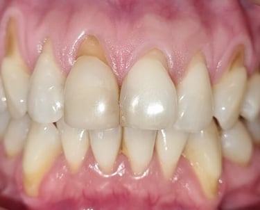
Tratamiento de recesión gingival
Se corrige la retracción de las encías que deja expuestas las raíces dentales. Esto puede implicar injertos de encía o técnicas quirúrgicas para restaurar la posición original de las encías.
Se realiza para cubrir áreas de recesión gingival o mejorar la calidad del tejido periodontal. Consiste en tomar un injerto de encía de otra parte de la boca y colocarlo en el área afectada.


Injerto de Encía


Alargamiento coronario
Se realiza para exponer más superficie del diente mediante la eliminación de encía y hueso. Es útil cuando los dientes parecen cortos o cuando se necesita preparar el diente para una restauración dental.
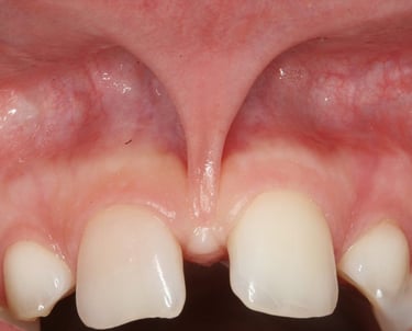
Cirugía menor que elimina el frenillo que conecta el labio superior con la encía. Se realiza para corregir problemas como separación entre los dientes frontales o interferencias en prótesis dentales. El procedimiento es rápido, con anestesia local, y mejora la función y estética oral.


Frenectomía labial


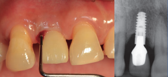
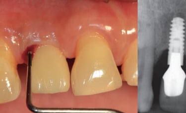
Tratamiento de enfermedades periimplantarias
Se refiere a la atención y manejo de enfermedades que afectan los tejidos alrededor de los implantes dentales, como la mucositis y la periimplantitis.


Manejo de mucositis periimplantaria
Se trata de la inflamación de los tejidos alrededor de un implante dental sin pérdida ósea significativa. Incluye limpieza y cuidado para evitar que la inflamación progrese a periimplantitis.


Tratamiento de periimplantitis
Es una infección que afecta los tejidos alrededor de un implante dental, causando pérdida ósea y posible fracaso del implante. El tratamiento incluye limpieza profunda y, en algunos casos, cirugía.
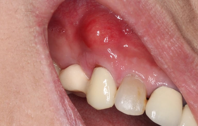
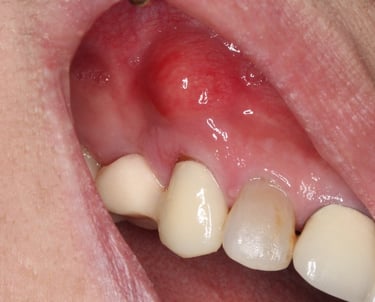
Se trata de infecciones localizadas en los tejidos periodontales que forman una acumulación de pus. El tratamiento incluye drenaje del absceso y manejo de la infección.


Tratamiento de Abscesos Periodontales
Tratamiento de lesiones endoperiodontales
Se refiere a la atención de problemas que afectan tanto los tejidos dentales internos (endodónticos) como los tejidos periodontales externos. Puede incluir tratamientos de conducto combinados con terapias periodontales


Son visitas regulares al dentista para monitorear y mantener la salud periodontal después del tratamiento inicial. Incluye limpieza profesional y evaluación para prevenir la recurrencia de problemas periodontales.


Mantenimiento Periodontal


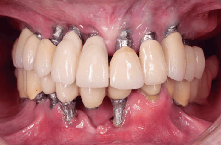
Mantenimiento de implantes dentales
Consiste en el seguimiento regular de los implantes dentales para asegurar su funcionamiento adecuado y prevenir problemas como la mucositis o la periimplantitis.


Terapia antibiótica periodontal
Se utilizan antibióticos para tratar infecciones periodontales y ayudar a controlar el crecimiento de bacterias dañinas en las encías. Puede ser parte del tratamiento para enfermedades periodontales graves.


Tratamiento de infecciones periodontales agudas
Se abordan infecciones severas y repentinas de las encías, que pueden causar dolor y malestar. Incluye el uso de antibióticos y procedimientos para eliminar la causa de la infección.
Sunshine Bay Residence
Equipped with full air conditioning, a private pool, 3 on-suite bedrooms, and a spacious open living room kitchen area, Sunshine Bay Residences is an excellent choice for anyone dreaming of their own safe haven.