Periodoncia
"La Periodoncia nutre la base de tu sonrisa, cuidando cada encía con amor y dedicación."
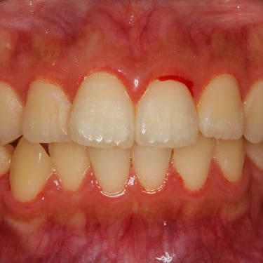
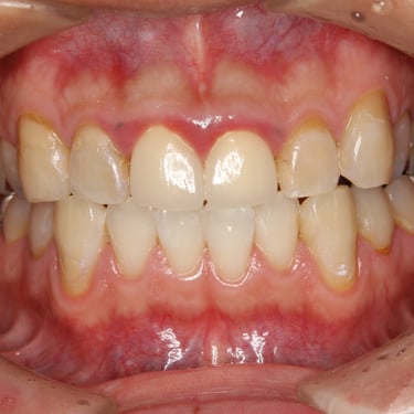
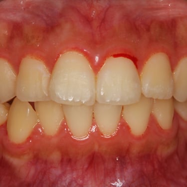
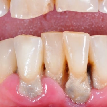
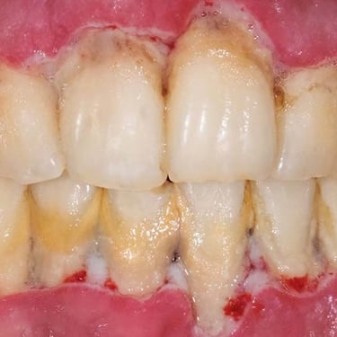
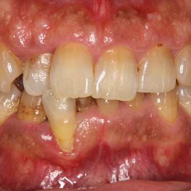
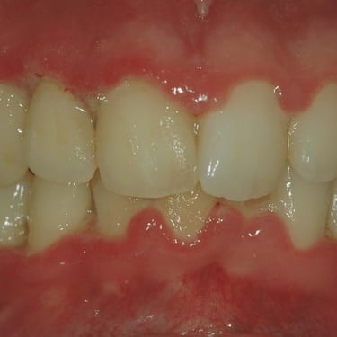
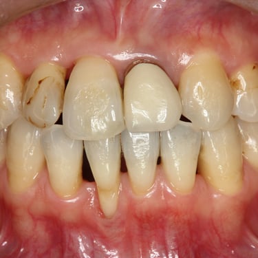
Gingivitis
La gingivitis es la inflamación de las encías causada por la acumulación de placa bacteriana en los dientes. Este problema es común y se manifiesta con encías rojas, hinchadas y que sangran fácilmente al cepillarse.
Los pacientes a menudo notan que sus encías están rojas, hinchadas y sangran al cepillarse los dientes.
Si no se trata, puede progresar a periodontitis, una forma más grave de enfermedad de las encías. La buena noticia es que la gingivitis se puede revertir con una buena higiene oral y visitas regulares al dentista.








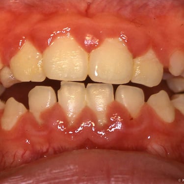
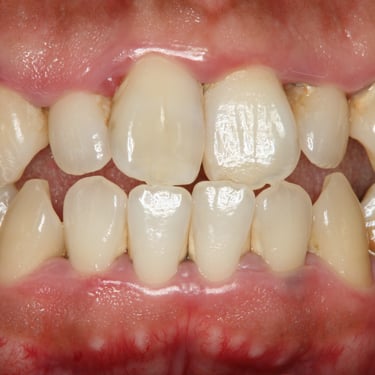
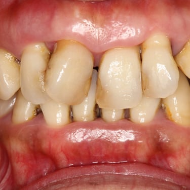
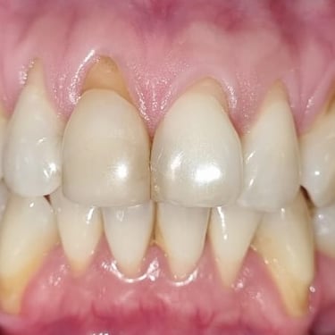
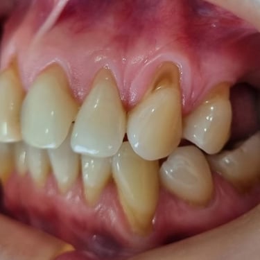
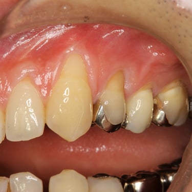
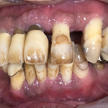
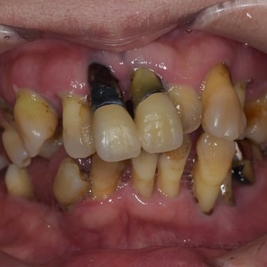
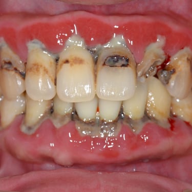
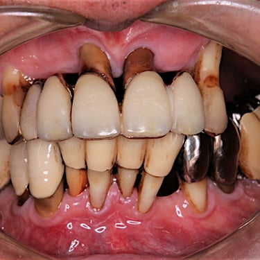
Periodontitis
La periodontitis es una infección grave de las encías que daña el tejido blando y destruye el hueso que sostiene los dientes. Si no se trata, puede causar la pérdida de dientes.
Los pacientes suelen notar que sus encías se han retraído, sus dientes se sienten flojos y tienen mal aliento constante. Este daño es irreversible y requiere tratamiento especializado.
El control de la periodontitis incluye limpiezas profundas, raspado y alisado radicular y, en algunos casos, cirugía.








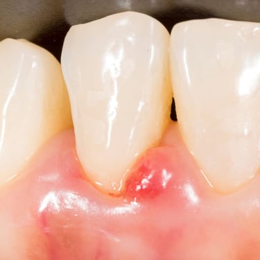
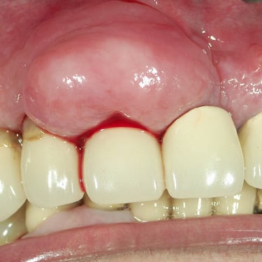
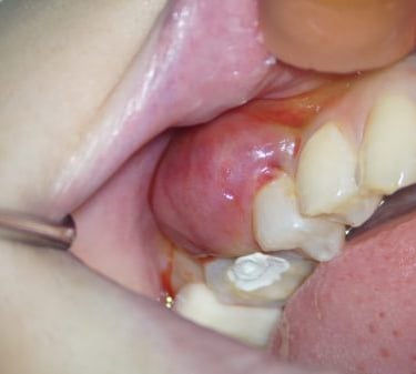
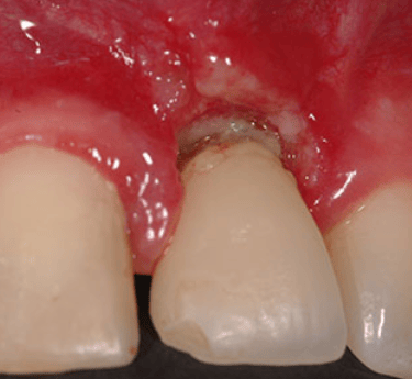
Absceso periodontal
Un absceso periodontal es una acumulación localizada de pus en los tejidos de soporte del diente debido a una infección bacteriana.
Los pacientes generalmente tienen una hinchazón dolorosa en la encía que supura pus.
Esto puede causar un dolor intenso y, a veces, fiebre. Es esencial recibir tratamiento inmediato para drenar el absceso y controlar la infección con antibióticos.








Enfermedad periodontal necrotizante
La enfermedad periodontal necrotizante es una infección severa que causa necrosis de las encías, el ligamento periodontal y el hueso alveolar.
Los pacientes experimentan un dolor intenso en las encías, con áreas negras y mal aliento.
Esta condición a menudo se asocia con el estrés y la mala nutrición. El tratamiento incluye la eliminación del tejido muerto y el uso de antibióticos.








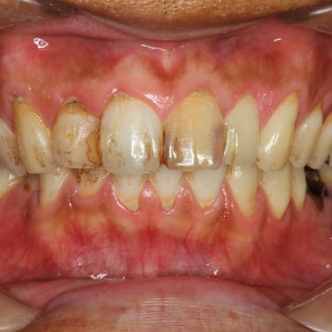
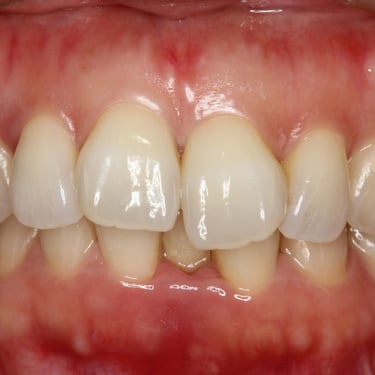
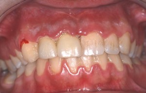
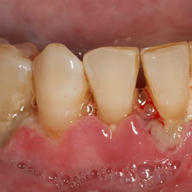
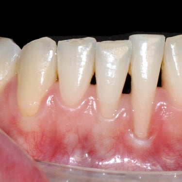
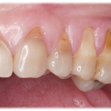
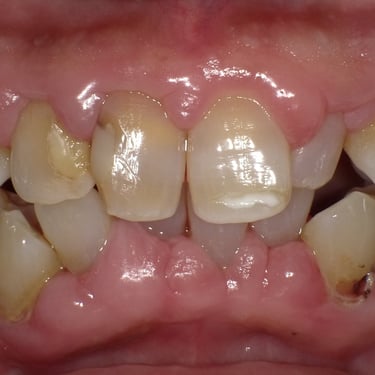
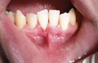
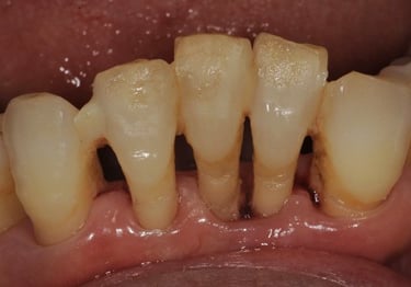
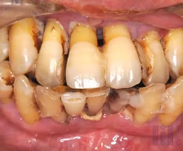
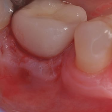
Recesión gingival
La recesión gingival es la pérdida de tejido de las encías que expone la raíz del diente.
Los pacientes suelen observar que sus encías se han retraído y pueden ver las raíces de sus dientes. Esto puede aumentar la sensibilidad dental y el riesgo de caries en las raíces expuestas.
El tratamiento puede incluir injertos de encía y modificaciones en la técnica de cepillado.








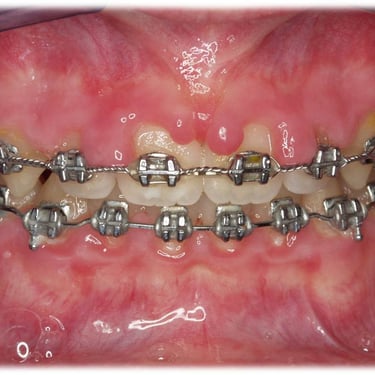
Hiperplasia gingival
La hiperplasia gingival es el aumento del tamaño de las encías debido a la proliferación de tejido gingival.
Los pacientes notan que sus encías están muy grandes y cubren parte de sus dientes. Esto puede dificultar la limpieza y aumentar el riesgo de infecciones.
El tratamiento inicia con una limpieza profunda, mejorar cepillado y puede incluir cirugía para reducir el exceso de tejido (gingivectomia)








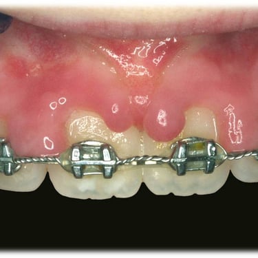
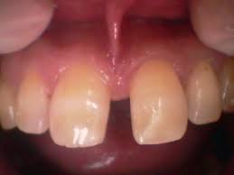
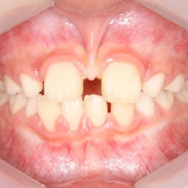
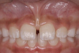
Frenillo labial hipertrófico
Un frenillo labial hipertrófico es una anomalía caracterizada por un frenillo labial superior grueso que puede causar problemas periodontales.
Los pacientes notan un pliegue de tejido muy grande entre su labio y su encía. Esto puede causar una separación entre los dientes delanteros y dificultar la higiene oral.
El tratamiento puede incluir una frenectomía para reducir el tamaño del frenillo








Enfermedades sistémicas relacionadas con la periodontitis
Algunas enfermedades sistémicas, como la diabetes, aumentan el riesgo de desarrollar periodontitis. Los pacientes con estas enfermedades tienen un mayor riesgo de tener problemas de encías y notan que su condición de salud puede empeorar sus problemas de encías. El control de la enfermedad sistémica es crucial para el manejo de la periodontitis. Una buena coordinación entre el dentista y el médico es esencial para el tratamiento eficaz.








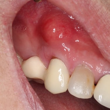
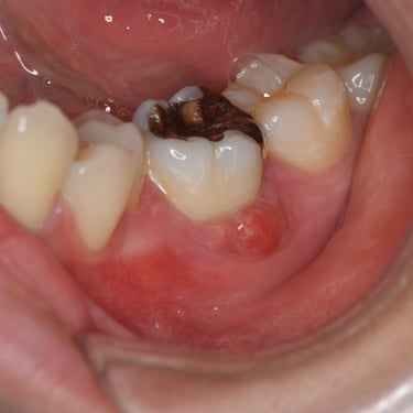
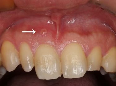
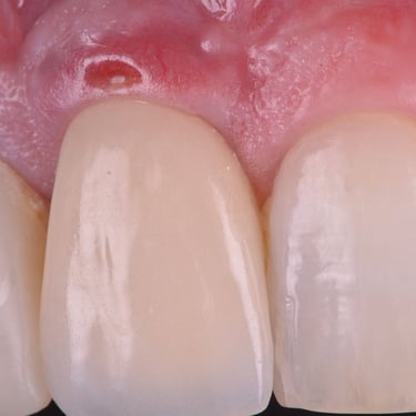
Fístula gingival
Una fístula gingival es un canal anormal que se forma en las encías y drena pus debido a una infección.
Los pacientes notan una pequeña abertura en la encía que supura pus.
Esto indica una infección crónica que necesita tratamiento. El tratamiento puede incluir la limpieza del área infectada y el uso de antibióticos.








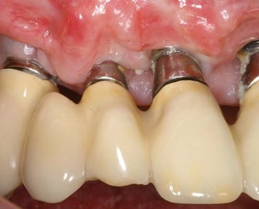
Mucositis periimplantaria
La mucositis periimplantaria es una inflamación reversible de los tejidos blandos que rodean un implante dental.
Los pacientes tienen encías inflamadas alrededor del implante, pero no hay dolor intenso.
Es una condición temprana y tratable con una buena higiene oral y limpiezas profesionales. El monitoreo regular es importante para prevenir la progresión a periimplantitis.








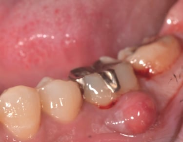
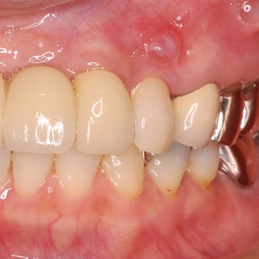
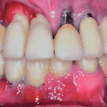
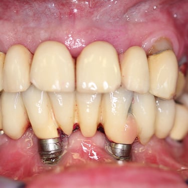
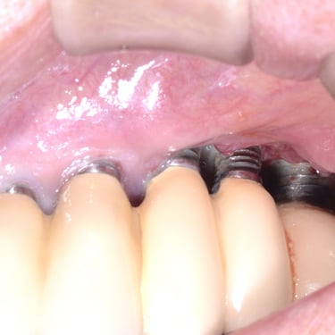
Periimplantitis
La periimplantitis es una infección e inflamación de los tejidos alrededor de un implante dental.
Los pacientes notan que sus encías están inflamadas y sangran alrededor del implante. Esto puede llevar a la pérdida del implante si no se trata.
El tratamiento incluye la limpieza profunda alrededor del implante y, en casos avanzados, cirugía.








Sunshine Bay Residence
Equipped with full air conditioning, a private pool, 3 on-suite bedrooms, and a spacious open living room kitchen area, Sunshine Bay Residences is an excellent choice for anyone dreaming of their own safe haven.







