Rehabilitación Oral
"La Rehabilitación Oral restaura la funcionalidad y la estética, devolviendo la plenitud a tu sonrisa."
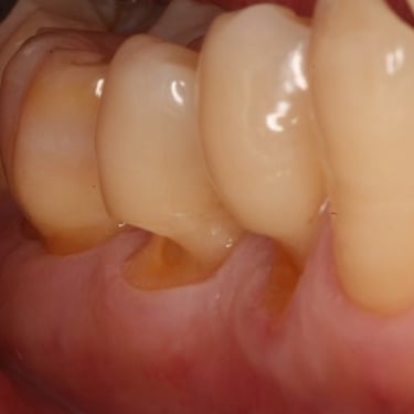
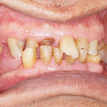
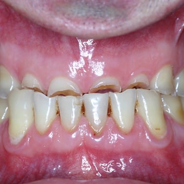
Desgaste dental (Atrición)
La atrición es el desgaste de los dientes debido al contacto diente con diente, generalmente causado por el bruxismo o la masticación excesiva.
Los pacientes pueden notar que sus dientes se ven más cortos y desgastados. Este desgaste puede causar sensibilidad y afectar la mordida.
El tratamiento incluye el uso de protectores bucales y restauraciones dentales.








Erosión dental
La erosión dental es la pérdida de esmalte dental debido a la exposición a ácidos, ya sea por la dieta o el reflujo gastroesofágico.
Los pacientes pueden notar que sus dientes están más delgados y sensibles. Esto puede llevar a una mayor susceptibilidad a las caries y al desgaste dental.
El tratamiento incluye la modificación de la dieta y el uso de restauraciones protectoras.








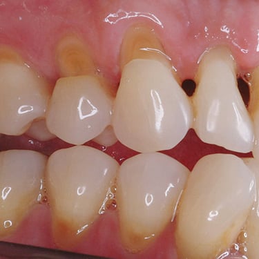
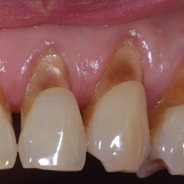
Desgaste dental (Abfracción)
La abfracción es la pérdida de esmalte dental en la región cervical del diente, generalmente causada por fuerzas oclusales excesivas.
Los pacientes pueden notar hendiduras o surcos en la base de los dientes. Esta condición puede causar sensibilidad y aumentar el riesgo de caries.
El tratamiento incluye ajustes oclusales y restauraciones dentales.








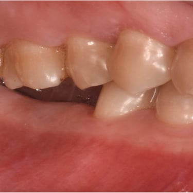
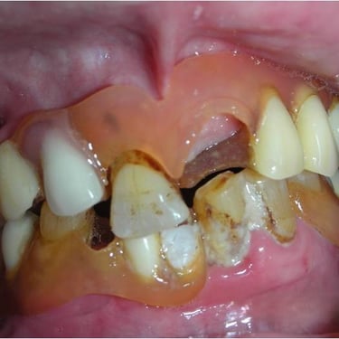
Fractura dental
La fractura dental es la ruptura de un diente debido a un trauma o fuerzas excesivas.
Los pacientes pueden notar dolor agudo al morder y la presencia de una línea de fractura visible en el diente. La fractura puede afectar la funcionalidad y la estética.
El tratamiento incluye restauraciones, coronas o, en casos severos, extracción del diente.








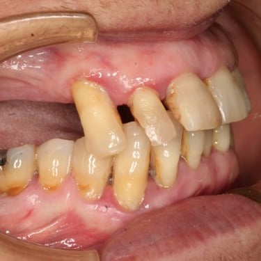
Pérdida de dimensión vertical
La pérdida de dimensión vertical ocurre cuando los dientes se desgastan o se pierden, reduciendo la altura de la mordida.
Los pacientes pueden notar una apariencia de "cara colapsada" y problemas al masticar. Esta condición puede afectar la articulación temporomandibular y la estética facial.
El tratamiento incluye restauraciones dentales para aumentar la altura de la mordida.








Inestabilidad oclusal
La inestabilidad oclusal es una mordida desequilibrada que puede causar desgaste desigual de los dientes y problemas en la articulación temporomandibular.
Los pacientes pueden notar dolor de mandíbula, dolores de cabeza y desgaste dental irregular.
El tratamiento incluye ajustes oclusales y, en algunos casos, ortodoncia o rehabilitación protésica.








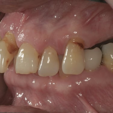
Prótesis mal ajustada
Una prótesis mal ajustada puede causar incomodidad, llagas en las encías y dificultades para masticar.
Los pacientes pueden notar que sus prótesis se sienten sueltas o causan dolor. Es crucial ajustar o reemplazar las prótesis para mejorar la funcionalidad y el confort.
El tratamiento incluye la adaptación de las prótesis existentes o la creación de nuevas.








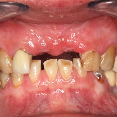
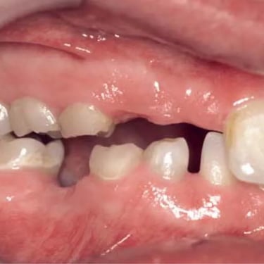
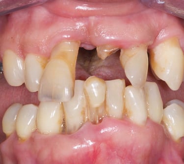
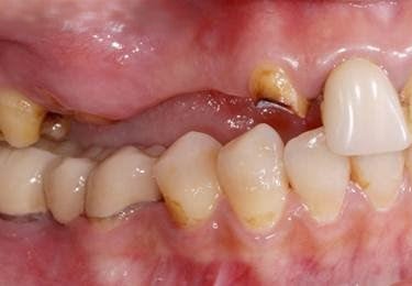
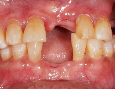
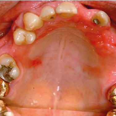
Edentulismo parcial
Pérdida de uno o más dientes en una arcada dental, afectando la masticación y la estética.
Esta condición puede llevar a la migración de dientes adyacentes y desalineaciones adicionales. También puede provocar una sobrecarga en los dientes restantes.
El edentulismo parcial puede afectar la calidad de vida del paciente al dificultar la alimentación y el habla.








Edentulismo total
Ausencia completa de dientes en una o ambas arcadas, comprometiendo gravemente la masticación y la estética facial.
La falta de dientes también puede causar atrofia ósea acelerada en las mandíbulas.
Los pacientes pueden experimentar dificultades significativas para hablar y comer. Además, la falta de soporte dental puede provocar un aspecto facial envejecido.








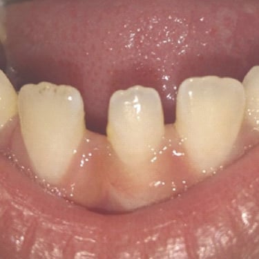
Microdoncia
Dientes más pequeños de lo normal que pueden afectar la función masticatoria y la estética.
Puede estar asociado con espacios entre los dientes (diastemas). Esta condición puede afectar tanto la alineación dental como la apariencia facial.
En algunos casos, puede ser necesario un tratamiento estético para mejorar la sonrisa.








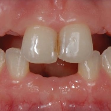
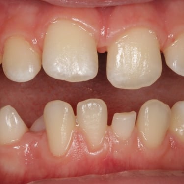
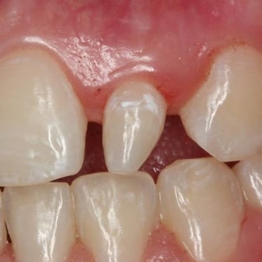
Diastema
Espacio o separación entre dos dientes, comúnmente entre los incisivos superiores.
Puede ser causado por una discrepancia en el tamaño de los dientes y la mandíbula. Este espacio puede ser estéticamente indeseable para algunos pacientes.
En ciertos casos, el diastema puede corregirse con carillas o coronas







