Odontología estética
Es un enfoque integral que combina varios procedimientos estéticos y restaurativos para mejorar la apariencia general de la sonrisa del paciente. Incluye la evaluación y modificación de la forma, tamaño, color y alineación de los dientes para crear una sonrisa armónica y atractiva.


Diseño de Sonrisa
Es un procedimiento mínimamente invasivo que elimina manchas superficiales y decoloraciones del esmalte dental mediante la aplicación de una pasta abrasiva y ácido suave. Es ideal para tratar manchas causadas por fluorosis o defectos en el esmalte, mejorando la apariencia general de los dientes.


Microabrasión Dental
Es un procedimiento para aclarar el color de los dientes y eliminar manchas y decoloraciones. Puede realizarse en el consultorio dental o mediante kits de blanqueamiento para uso en casa.


Blanqueamiento Dental
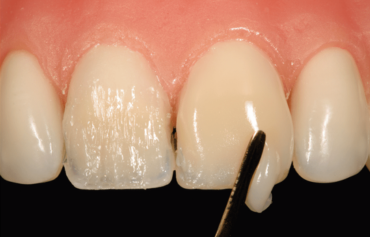
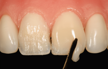
Las carillas son láminas delgadas que se adhieren a la superficie frontal de los dientes. Las de resina compuesta se aplican directamente sobre los dientes y se moldean para mejorar su apariencia.


Carillas de Resina (composite)
Estas carillas son más duraderas y estéticas que las de resina compuesta. Se fabrican en laboratorio y se cementan sobre los dientes para corregir problemas estéticos como manchas, desgastes o irregularidades.


Carillas de Porcelana
Son restauraciones indirectas hechas de cerámica o resina compuesta que se utilizan para reparar dientes con caries o daños moderados, proporcionando una apariencia natural.
Incrustaciones y Onlays


También conocido como contorneado cosmético, es un procedimiento que implica el esculpido de pequeñas cantidades de esmalte dental para mejorar la forma, longitud o superficie de uno o más dientes.


Contorneado Dental
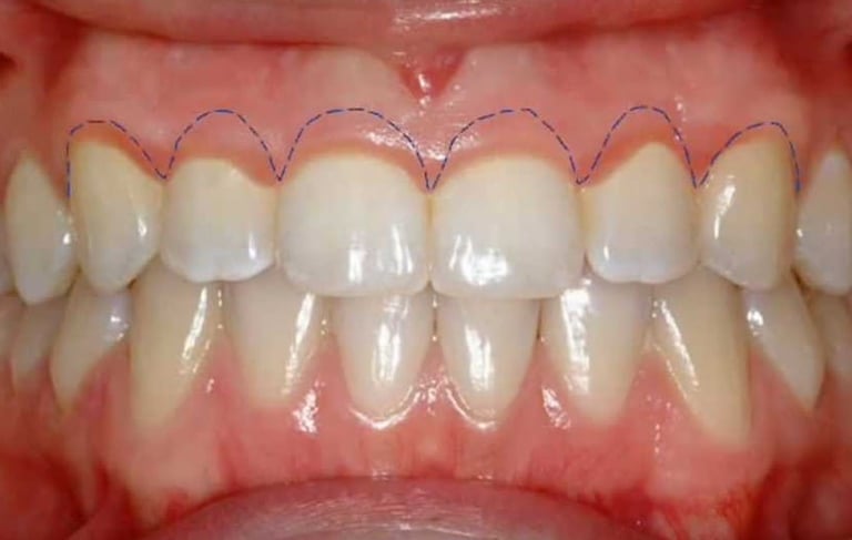
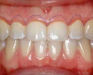
También conocido como gingivectomía, es un procedimiento que implica la remodelación de las encías para mejorar la proporción y la apariencia de la sonrisa. Se utiliza para corregir encías desiguales, sobrecrecidas o retraídas, creando un contorno gingival más estético y armonioso.


Recontorneado (recorte) de Encías
Se refiere al cierre de los espacios o huecos entre los dientes, generalmente mediante el uso de carillas, resinas compuestas o brackets, mejorando tanto la funcionalidad como la estética de la sonrisa.


Corrección de diastemas
Consiste en reparar dientes rotos o dañados utilizando materiales como resina compuesta o coronas, devolviendo la apariencia natural y la función del diente afectado.


Reconstrucción de dientes fracturados
Es la sustitución de los empastes de amalgama de plata por resinas compuestas del color del diente, mejorando la estética sin comprometer la durabilidad y funcionalidad de las restauraciones.
Reemplazo de amalgamas por resinas compuestas


Sunshine Bay Residence
Equipped with full air conditioning, a private pool, 3 on-suite bedrooms, and a spacious open living room kitchen area, Sunshine Bay Residences is an excellent choice for anyone dreaming of their own safe haven.
Escribe tu texto aquí...
Consiste en un análisis detallado de la sonrisa del paciente para identificar áreas de mejora. Se considera la alineación de los dientes, la forma, el color y la relación de los dientes con las encías y los labios.

