Odontopediatría
Consiste en una revisión completa de la boca del niño para identificar problemas dentales y de encías. Incluye la revisión del historial médico y dental, así como radiografías si es necesario.


Examen y diagnóstico
Proceso de familiarizar al niño con el entorno del consultorio dental, reduciendo la ansiedad y creando una experiencia positiva. Incluye visitas de adaptación y técnicas de manejo del comportamiento.


Adaptación a la atención dental
Identificación y manejo de hábitos como el uso prolongado del chupete, el dedo pulgar o la respiración bucal que pueden afectar el desarrollo dental.


Diagnóstico y tratamiento de hábitos orales
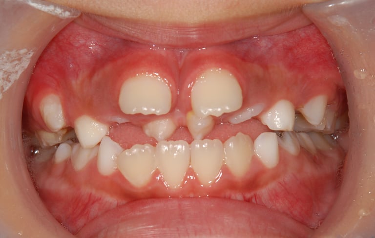
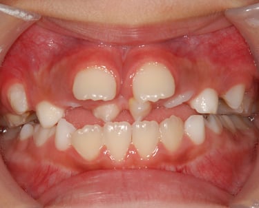
Se revisa el proceso de salida de los dientes primarios y permanentes, asegurándose de que ocurra en el momento adecuado y en el orden correcto.


Evaluación de la erupción dental
Identificación de problemas relacionados con la respiración bucal que pueden afectar la salud dental y el desarrollo facial. Puede implicar la derivación a un especialista.


Evaluación de la respiración bucal
Incluye la eliminación de placa y sarro, así como el pulido de los dientes para mantener la salud oral y prevenir caries.


Limpieza dental para niños
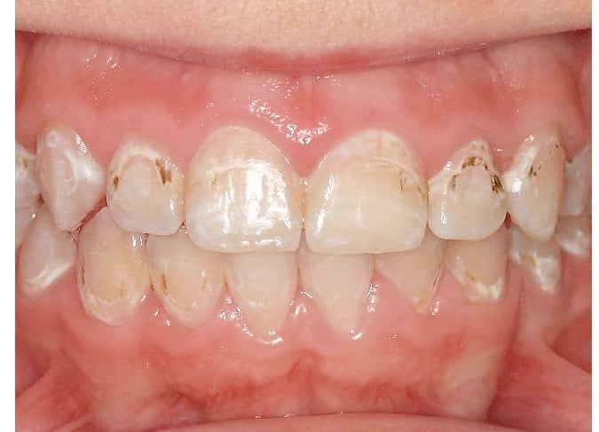
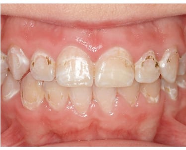
Reparación de dientes de leche cariados utilizando empastes, coronas o terapias pulpares según la severidad del daño.


Tratamiento de caries en dientes (de leche) primarios
Manejo de infecciones en dientes y encías mediante el uso de antibióticos, drenaje de abscesos y tratamientos dentales.


Tratamiento de infecciones dentales en niños
Colocación de un recubrimiento protector en las superficies masticatorias de los dientes posteriores para prevenir caries.


Sellantes Dentales
Aplicación de geles o barnices de flúor para fortalecer el esmalte dental y prevenir la aparición de caries.


Flúor - Fluorización
Manejo de dientes con esmalte insuficientemente formado, que puede incluir restauraciones y el uso de agentes remineralizantes.


Tratamiento de la hipoplasia del esmalte
Tratamiento del nervio de los dientes de leche para mantener la salud del diente afectado y evitar su extracción prematura. Incluye pulpotomías y pulpectomías.


Terapia pulpar en dientes primarios
Se utilizan para restaurar dientes primarios con caries extensas o después de la terapia pulpar, proporcionando una solución duradera y funcional.


Colocación de coronas de acero inoxidable
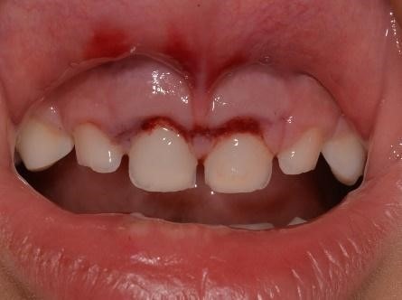
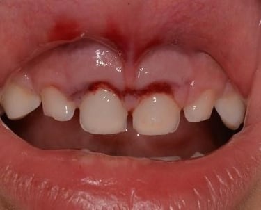
Manejo de lesiones dentales resultantes de accidentes, que puede incluir la reparación de dientes fracturados, reimplantación de dientes avulsionados y tratamiento de lesiones de tejidos blandos.


Tratamiento de traumatismos dentales en niños
Remoción de dientes de leche cuando están severamente dañados o si afectan el desarrollo de los dientes permanentes.


Extracción de dientes primarios
Dispositivos que se colocan para mantener el espacio adecuado para los dientes permanentes cuando un diente primario se ha perdido prematuramente.


Mantenedores de Espacio
Prótesis temporales para reemplazar dientes perdidos en niños, ayudando a mantener la función masticatoria y la estética.


Colocación de prótesis en niños
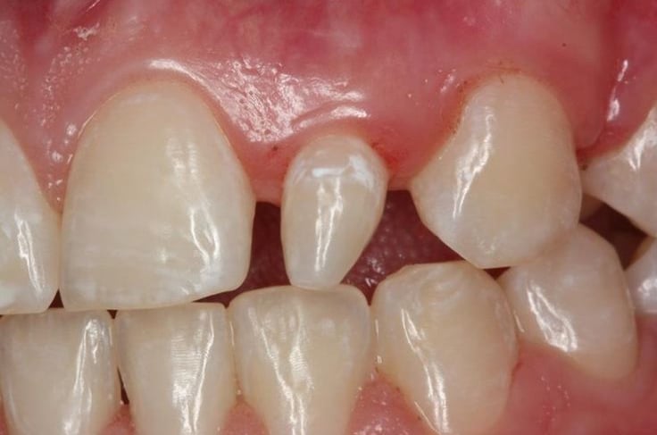
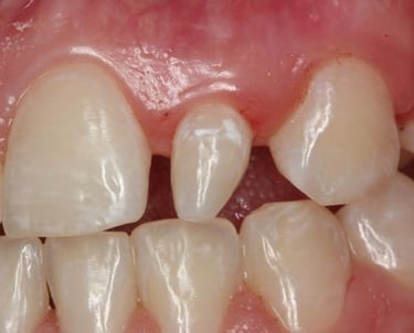
Manejo de dientes adicionales que pueden causar problemas de espacio y alineación, que puede incluir la extracción si es necesario


Tratamiento de dientes supernumerarios
Abordaje de problemas congénitos o adquiridos en la estructura y forma de los dientes, como la amelogenesis imperfecta o la dentinogenesis imperfecta.


Tratamiento de anomalías dentales en niños
Manejo de úlceras, aftas, y otras lesiones en la mucosa oral, proporcionando alivio y previniendo complicaciones


Tratamiento de lesiones de la mucosa oral en niños
Identificación y manejo de quistes en la boca de los niños, que puede incluir la observación o la cirugía según el tamaño y la ubicación del quiste.


Tratamiento de quistes dentales en niños
Técnicas y estrategias para ayudar a los niños a sentirse más cómodos y relajados durante las visitas al dentista, incluyendo el uso de música, juguetes y técnicas de distracción.


Manejo de la ansiedad dental en niños
Empleo de sedación leve o moderada para ayudar a los niños a relajarse durante los procedimientos dentales más largos o complejos.


Uso de sedación en odontopediatría
Tratamientos ortodónticos tempranos para corregir problemas de alineación y mordida en desarrollo, utilizando aparatos removibles o fijos.


Ortodoncia Preventiva
Visitas regulares para monitorear la salud oral, realizar limpiezas, aplicar flúor y asegurar el desarrollo dental adecuado.
Seguimiento de la salud bucal en niños
Sunshine Bay Residence
Equipped with full air conditioning, a private pool, 3 on-suite bedrooms, and a spacious open living room kitchen area, Sunshine Bay Residences is an excellent choice for anyone dreaming of their own safe haven.
Escribe tu texto aquí...
Se monitorea el crecimiento y desarrollo de los dientes y la mandíbula del niño, asegurando que la erupción y la alineación sean adecuadas.


Evaluación del desarrollo dental
Uso de analgésicos y anestesia local para aliviar el dolor durante y después de los tratamientos dentales.

