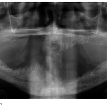
Implantología

"En Implantología, sembramos raíces de esperanza, donde cada implante florece en confianza."

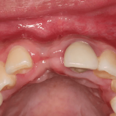
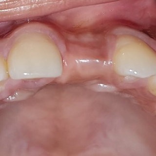
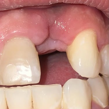
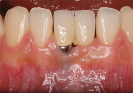
Pérdida de un diente único

La pérdida de un diente único es cuando un solo diente se ha caído o ha sido extraído, y se necesita un implante para reemplazarlo.

Los pacientes pueden notar un espacio donde solía estar el diente. Esta condición puede afectar la estética y la función masticatoria.

El tratamiento incluye la colocación de un implante dental para restaurar el diente perdido.

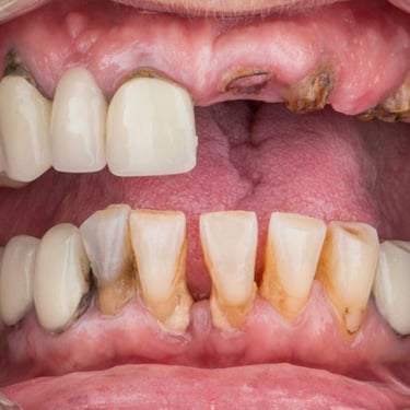
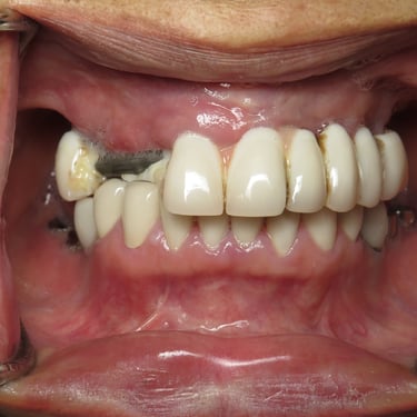
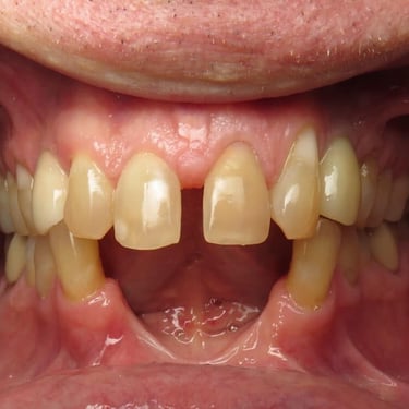
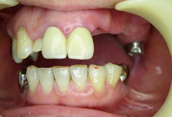
Pérdida de múltiples dientes

La pérdida de múltiples dientes es la ausencia de varios dientes que puede ser resultado de caries, enfermedades periodontales o traumatismos.

Los pacientes notan varios espacios vacíos en su boca, lo que afecta su capacidad para masticar y hablar adecuadamente.

El tratamiento incluye la colocación de varios implantes dentales para restaurar la función y la estética.

Edentulismo completo

El edentulismo completo es la ausencia total de dientes en una o ambas arcadas.

Los pacientes tienen dificultad para masticar, hablar y pueden sentirse incómodos con su apariencia.

El tratamiento puede incluir la colocación de una prótesis completa sobre implantes, proporcionando una solución fija y estable

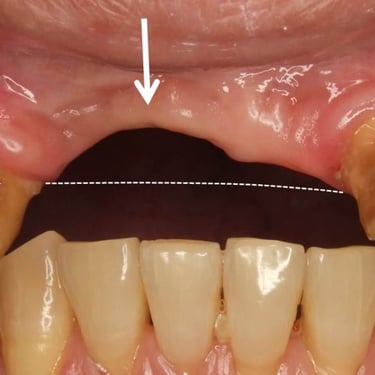
Atrofia ósea alveolar

La atrofia ósea alveolar es la pérdida de hueso en la mandíbula o el maxilar debido a la ausencia prolongada de dientes.

Los pacientes pueden notar que sus encías están hundidas y que las dentaduras no encajan bien.

El tratamiento puede incluir injertos óseos para preparar el sitio para la colocación de implantes.

Falta de hueso para implantes

La falta de hueso suficiente para la colocación de implantes puede ser una barrera para el tratamiento.

Los pacientes pueden ser informados de que no tienen suficiente hueso en la mandíbula o el maxilar para soportar un implante.

El tratamiento incluye técnicas de regeneración ósea, como injertos óseos, para aumentar el volumen óseo.

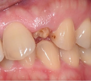
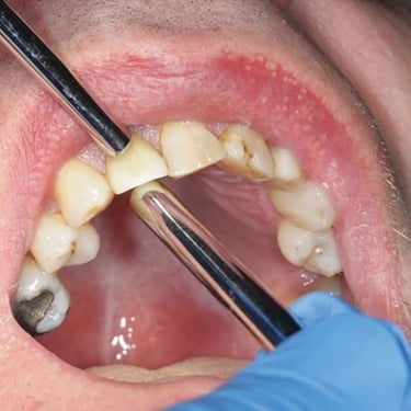
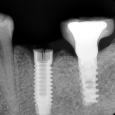
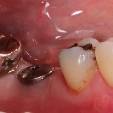
Implantes dentales fracasados

Los implantes dentales fracasados son aquellos que no se han integrado correctamente con el hueso o han desarrollado complicaciones postoperatorias.

Los pacientes pueden notar movilidad en el implante, dolor o inflamación.

El tratamiento puede incluir la extracción del implante fallido y la preparación para un nuevo implante.

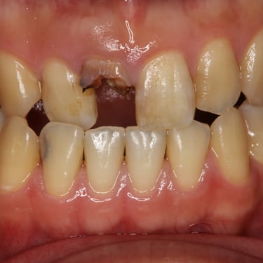
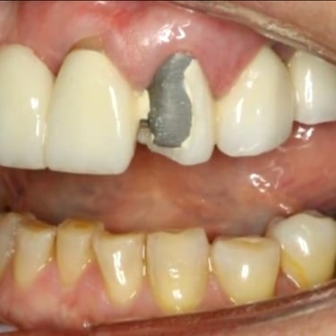
Fractura del implante

La fractura del implante es una ruptura del cuerpo del implante dental, generalmente debido a fuerzas excesivas o defectos en el material.

Los pacientes pueden notar dolor, movilidad del implante y, a veces, una sensación de fragmento suelto en la boca.

El tratamiento incluye la extracción del implante fracturado y la colocación de uno nuevo.

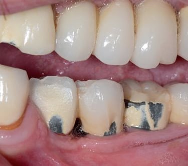
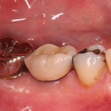
Fractura de la prótesis sobre implante

La fractura de la prótesis sobre implante es una ruptura o daño en la corona, puente o dentadura soportada por implantes.

Los pacientes pueden notar una prótesis suelta o dañada.

El tratamiento incluye la reparación o reemplazo de la prótesis afectada

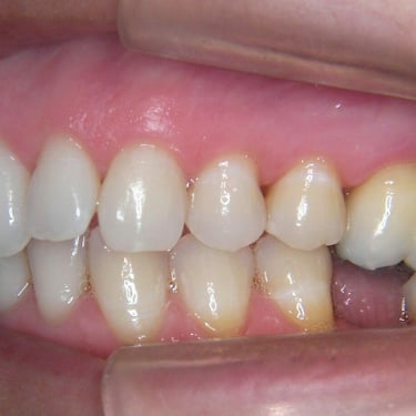
Movilidad del implante

La movilidad del implante es un signo de que el implante no se ha integrado correctamente con el hueso.

Los pacientes notan que el implante se mueve al morder o tocarlo.

El tratamiento incluye la evaluación y, en muchos casos, la extracción del implante móvil y la preparación para uno nuevo.

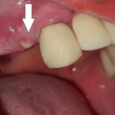
Infección postoperatoria

La infección postoperatoria es una complicación que puede ocurrir después de la colocación de un implante dental, manifestándose con dolor, hinchazón y fiebre.

Los pacientes deben estar atentos a signos de infección después de la cirugía.

El tratamiento incluye antibióticos y, en algunos casos, la limpieza quirúrgica del área afectada.

Sunshine Bay Residence

Equipped with full air conditioning, a private pool, 3 on-suite bedrooms, and a spacious open living room kitchen area, Sunshine Bay Residences is an excellent choice for anyone dreaming of their own safe haven.

Sunshine Bay Residence

Equipped with full air conditioning, a private pool, 3 on-suite bedrooms, and a spacious open living room kitchen area, Sunshine Bay Residences is an excellent choice for anyone dreaming of their own safe haven.

Sunshine Bay Residence

Equipped with full air conditioning, a private pool, 3 on-suite bedrooms, and a spacious open living room kitchen area, Sunshine Bay Residences is an excellent choice for anyone dreaming of their own safe haven.

Sunshine Bay Residence

Equipped with full air conditioning, a private pool, 3 on-suite bedrooms, and a spacious open living room kitchen area, Sunshine Bay Residences is an excellent choice for anyone dreaming of their own safe haven.

Sunshine Bay Residence

Equipped with full air conditioning, a private pool, 3 on-suite bedrooms, and a spacious open living room kitchen area, Sunshine Bay Residences is an excellent choice for anyone dreaming of their own safe haven.

Sunshine Bay Residence

Equipped with full air conditioning, a private pool, 3 on-suite bedrooms, and a spacious open living room kitchen area, Sunshine Bay Residences is an excellent choice for anyone dreaming of their own safe haven.

Sunshine Bay Residence

Equipped with full air conditioning, a private pool, 3 on-suite bedrooms, and a spacious open living room kitchen area, Sunshine Bay Residences is an excellent choice for anyone dreaming of their own safe haven.

Sunshine Bay Residence

Equipped with full air conditioning, a private pool, 3 on-suite bedrooms, and a spacious open living room kitchen area, Sunshine Bay Residences is an excellent choice for anyone dreaming of their own safe haven.

Sunshine Bay Residence

Equipped with full air conditioning, a private pool, 3 on-suite bedrooms, and a spacious open living room kitchen area, Sunshine Bay Residences is an excellent choice for anyone dreaming of their own safe haven.