Odontología Estética
"La Odontología Estética esculpe la belleza natural de tu sonrisa, reflejando la luz interior."
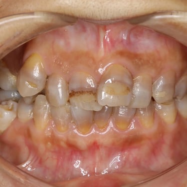
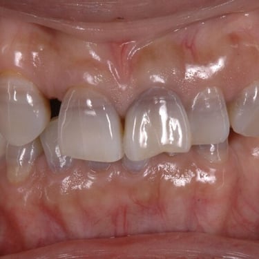
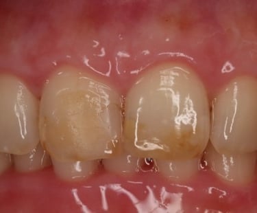
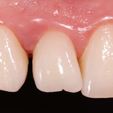
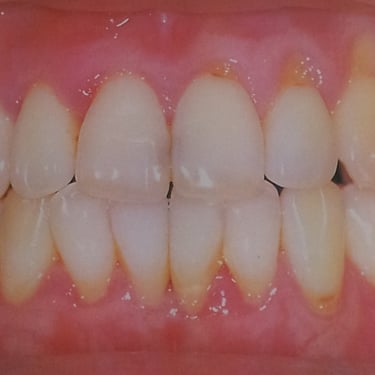
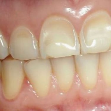
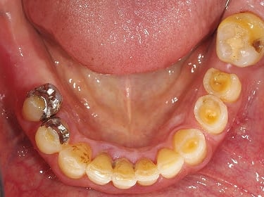
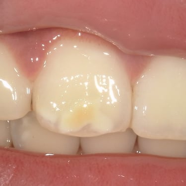
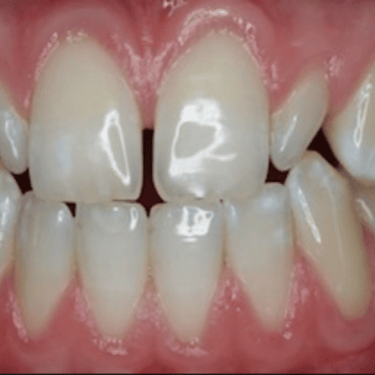
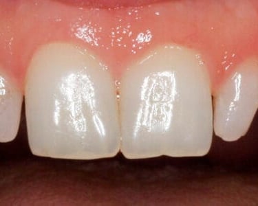
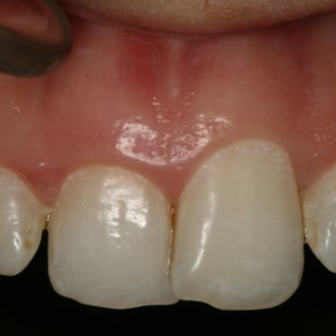
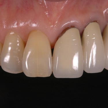
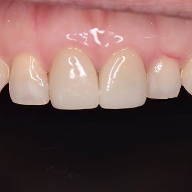
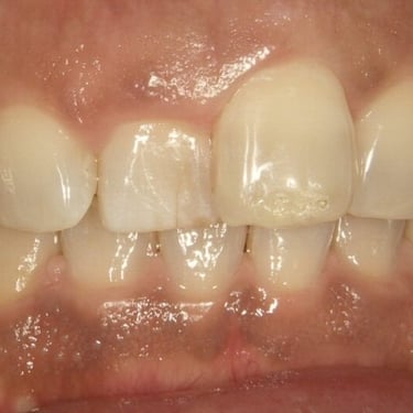
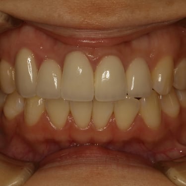
Dientes descoloridos
La decoloración dental es el cambio de color en los dientes debido a manchas superficiales o profundas causadas por alimentos, bebidas, tabaco, envejecimiento o medicamentos.
Los pacientes notan que sus dientes tienen un tono amarillento, marrón o incluso gris.
El tratamiento incluye blanqueamiento dental profesional, carillas o coronas para restaurar el color natural de los dientes.








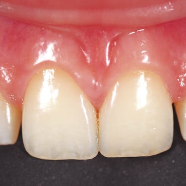
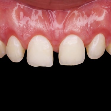
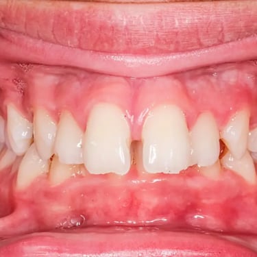
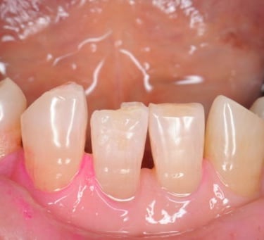
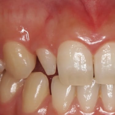
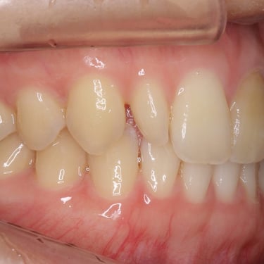
Diastema
El diastema es un espacio o separación entre dos dientes, comúnmente los dientes frontales superiores.
Los pacientes notan un espacio visible entre sus dientes frontales, lo cual puede afectar la estética de la sonrisa.
El tratamiento incluye ortodoncia, carillas o coronas para cerrar el espacio.








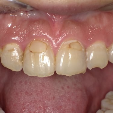
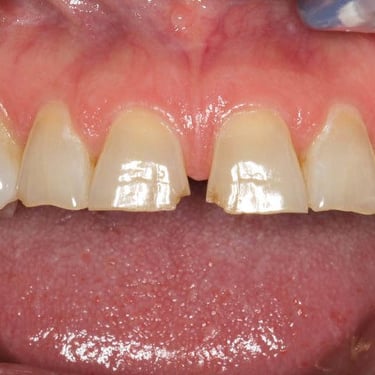
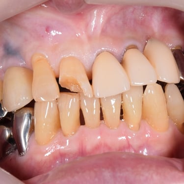
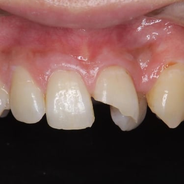
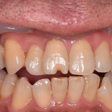
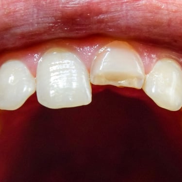
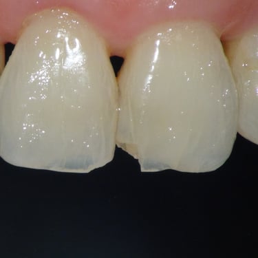
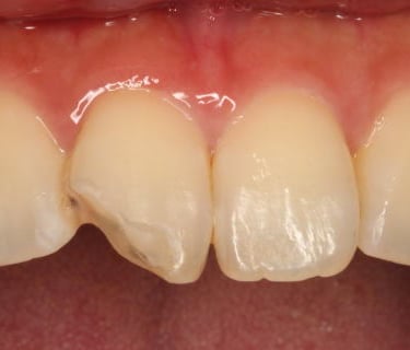
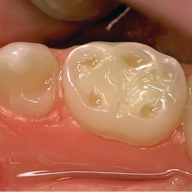
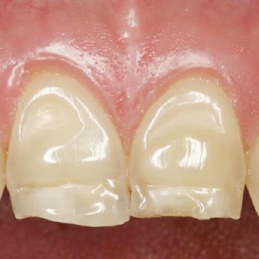
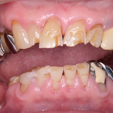
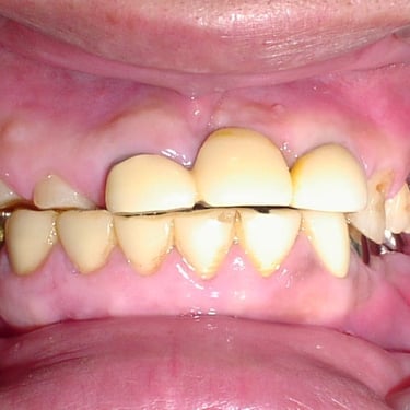
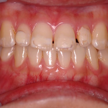
Dientes fracturados o astillados
Los dientes fracturados o astillados son resultado de un trauma, mordeduras de objetos duros o desgaste.
Los pacientes notan bordes ásperos y dientes rotos que pueden causar molestias y afectar la apariencia.
El tratamiento incluye la restauración con resinas compuestas, carillas o coronas.








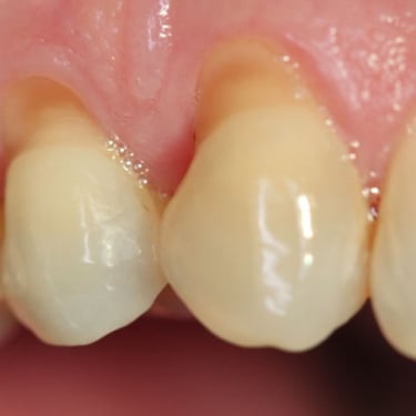
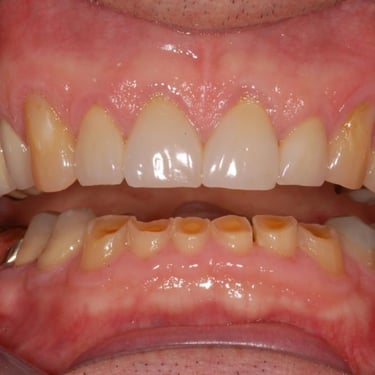
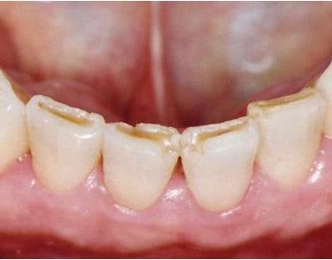
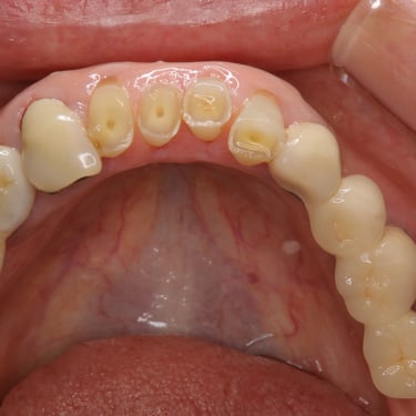
Desgaste dental (Abrasión)
La abrasión dental es el desgaste del esmalte dental debido a factores externos como el cepillado agresivo.
Los pacientes notan sensibilidad y áreas desgastadas cerca de la línea de las encías.
El tratamiento incluye técnicas de cepillado adecuadas y restauraciones con resina compuesta.








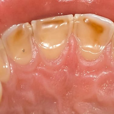
Desgaste dental (Erosión)
La erosión dental es la pérdida de esmalte dental debido a la exposición a ácidos, ya sea por dieta o reflujo gastroesofágico.
Los pacientes notan que sus dientes están más delgados y sensibles.
El tratamiento incluye restauraciones con resinas compuestas y modificaciones en la dieta para reducir la exposición a ácidos.








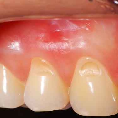
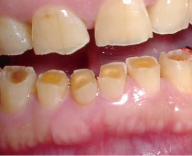
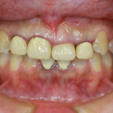
Desgaste dental (Atrición)
La atrición es el desgaste de los dientes debido al contacto diente con diente, generalmente causado por el bruxismo.
Los pacientes notan que sus dientes se ven más cortos y desgastados.
El tratamiento incluye el uso de protectores bucales y restauraciones dentales para proteger los dientes.








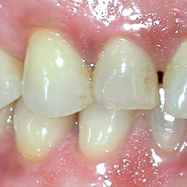
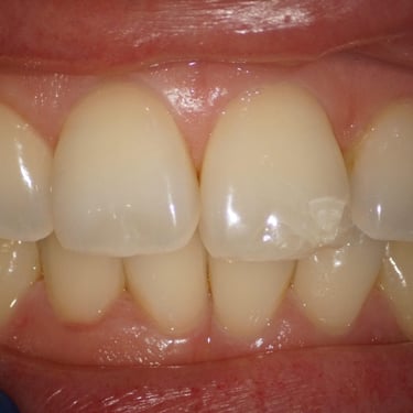
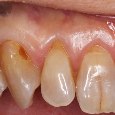
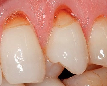
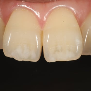
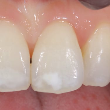
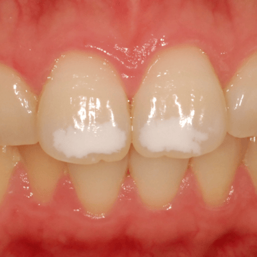
Manchas blancas por desmineralización
Las manchas blancas por desmineralización son áreas opacas en el esmalte dental causadas por la pérdida de minerales.
Los pacientes notan manchas blancas en sus dientes, especialmente alrededor de los brackets de ortodoncia.
El tratamiento incluye remineralización con flúor y, en algunos casos, microabrasión.








Dientes pequeños o microdoncia
La microdoncia es una condición en la que uno o más dientes son significativamente más pequeños de lo normal.
Los pacientes notan que sus dientes son desproporcionadamente pequeños en comparación con los demás.
El tratamiento incluye carillas o coronas para aumentar el tamaño de los dientes.








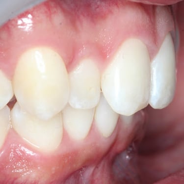
Encías irregulares o asimétricas
Las encías irregulares o asimétricas pueden afectar la estética de la sonrisa, haciendo que los dientes parezcan desiguales.
Los pacientes notan que sus encías no son uniformes.
El tratamiento incluye la cirugía plástica periodontal para mejorar el contorno gingival.







