Endodoncia

"La Endodoncia cura el alma de cada diente, devolviendo la calma y la salud a tu sonrisa."

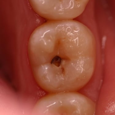
Pulpitis Reversible

La pulpitis reversible es una inflamación leve de la pulpa dental, generalmente causada por caries o una lesión menor.

Los pacientes suelen experimentar sensibilidad al frío o al calor, pero el dolor desaparece rápidamente.

Si se trata adecuadamente, la pulpa puede sanar sin complicaciones. Es importante acudir al dentista para evitar que progrese a una pulpitis irreversible.

Pulpitis Irreversible

La pulpitis irreversible es una inflamación severa de la pulpa dental que no se puede curar por sí sola, a menudo debido a una caries profunda o una lesión grave.

Los pacientes suelen sentir dolor intenso y prolongado, especialmente con estímulos calientes.

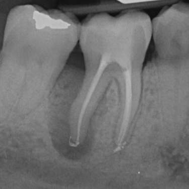
La única solución es el tratamiento de conducto para salvar el diente. Sin tratamiento, la pulpa morirá y puede llevar a una infección.

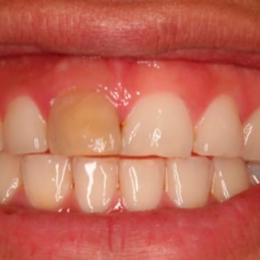
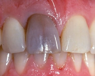
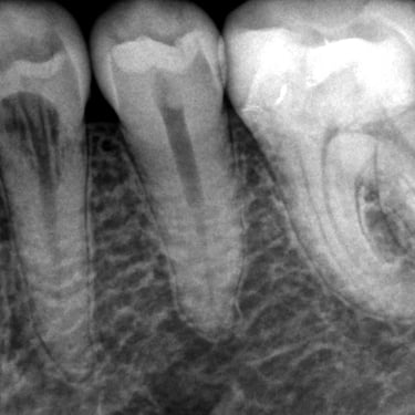
Necrosis Pulpar

La necrosis pulpar es la muerte de la pulpa dental, generalmente como resultado de una pulpitis no tratada.

Los pacientes pueden no sentir dolor, pero el diente puede cambiar de color y presentar mal olor.

Esto puede llevar a una infección del tejido circundante. Es crucial tratarlo con un tratamiento de conducto para evitar la propagación de la infección.

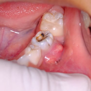
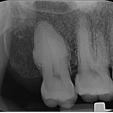
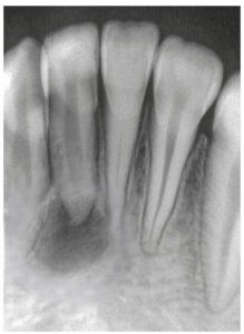
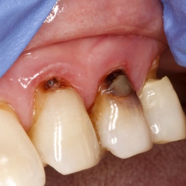
Absceso Periapical Agudo

Un absceso periapical agudo es una acumulación de pus en la punta de la raíz del diente debido a una infección.

Los pacientes suelen experimentar dolor intenso, hinchazón y fiebre.

Esta condición requiere tratamiento inmediato, como el drenaje del absceso y un tratamiento de conducto. Sin tratamiento, la infección puede propagarse a otras áreas.

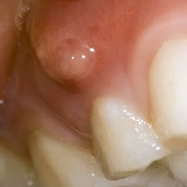
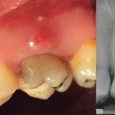
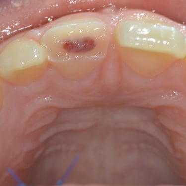
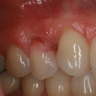
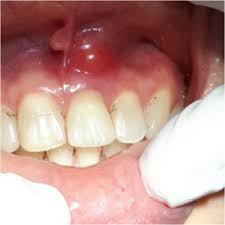
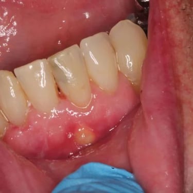
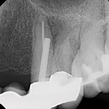
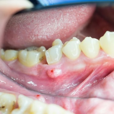
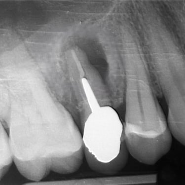
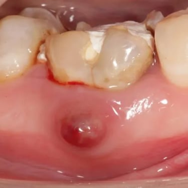
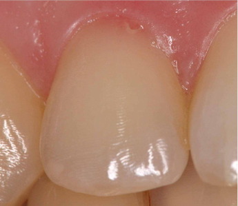
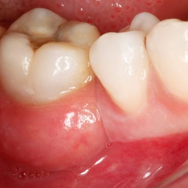
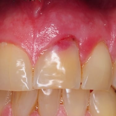
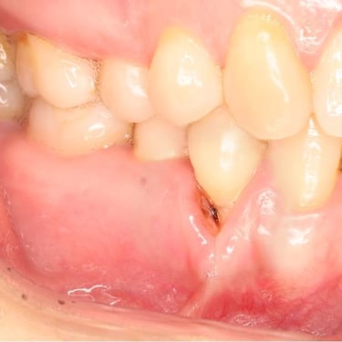
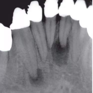
Absceso Periapical Crónico

Un absceso periapical crónico es una infección prolongada en la punta de la raíz del diente que forma una bolsa de pus.

Los pacientes pueden tener dolor leve o no tener síntomas, pero notar una fístula en la encía.

El tratamiento incluye un tratamiento de conducto y, en algunos casos, una cirugía apical. Es crucial tratarlo para evitar la propagación de la infección.

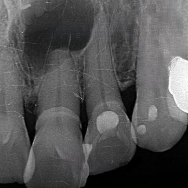
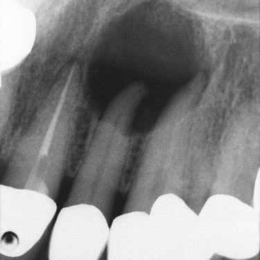
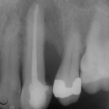
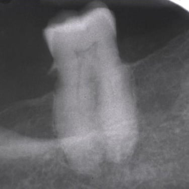
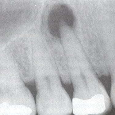
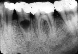
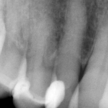
Granuloma Periapical

Un granuloma periapical es una pequeña masa de tejido inflamatorio en la punta de la raíz del diente, generalmente como respuesta a una infección crónica.

Los pacientes pueden no sentir dolor, pero el área puede estar sensible al tacto.

El tratamiento de conducto es necesario para eliminar la fuente de la infección y permitir la curación del tejido.

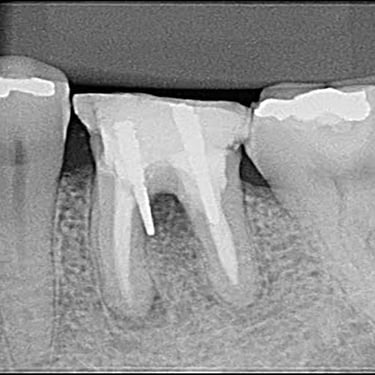
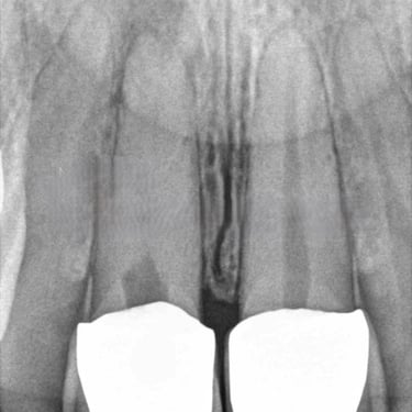
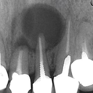
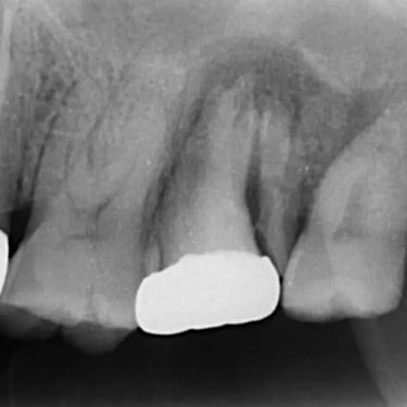
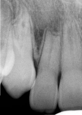
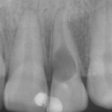
Quiste Periapical

Un quiste periapical es una cavidad llena de líquido en la punta de la raíz del diente, generalmente resultado de una infección crónica.

Los pacientes pueden notar una hinchazón sin dolor en la encía.

El tratamiento incluye el tratamiento de conducto y, a veces, la extirpación quirúrgica del quiste. Si no se trata, el quiste puede crecer y causar complicaciones.

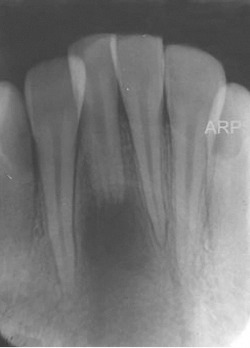
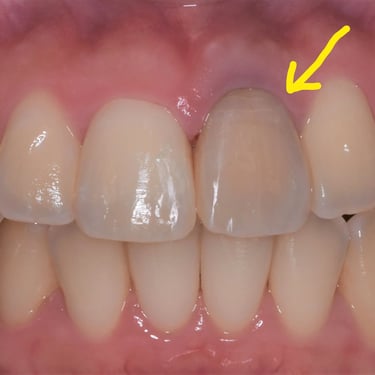
Reabsorción Interna

La reabsorción interna es la destrucción progresiva de la dentina desde el interior del diente hacia afuera, generalmente debido a un trauma o inflamación pulpar.

Los pacientes pueden notar un cambio de color en el diente.

Es necesario un tratamiento de conducto para detener el proceso y salvar el diente. Sin tratamiento, el diente puede debilitarse y fracturarse.

Reabsorción Externa

La reabsorción externa es la pérdida de tejido dental desde el exterior del diente hacia adentro, a menudo como resultado de un trauma o infección.

Los pacientes pueden no tener síntomas hasta que el diente se afloje.

El tratamiento incluye la eliminación de la causa y, a veces, un tratamiento de conducto. En casos severos, puede ser necesario extraer el diente.

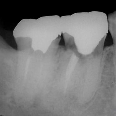
Fractura Radicular Vertical

Una fractura radicular vertical es una fisura que se extiende a lo largo de la raíz del diente, a menudo causada por un trauma o una presión excesiva.

Los pacientes suelen sentir dolor al morder y pueden notar hinchazón.

La fractura generalmente requiere la extracción del diente, ya que es difícil de reparar. Es crucial tratarla rápidamente para evitar infecciones.

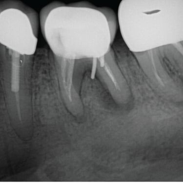
Lesión Endo-Perio Combinada

Una lesión endo-perio combinada es una condición en la que hay tanto una infección de la pulpa como una enfermedad periodontal.

Los pacientes pueden experimentar dolor, hinchazón y movilidad dental.

El tratamiento incluye tanto el tratamiento de conducto como el tratamiento periodontal para abordar ambas infecciones. La coordinación entre el endodoncista y el periodoncista es esencial.

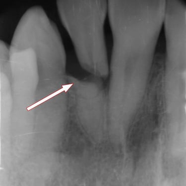
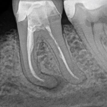
Perforación Radicular

Una perforación radicular es una abertura anormal en la raíz del diente, generalmente debido a un procedimiento dental fallido o una caries profunda.

Los pacientes pueden sentir dolor y notar hinchazón en la encía.

El tratamiento incluye la reparación de la perforación y el tratamiento de conducto. Es crucial reparar la perforación para evitar una infección.

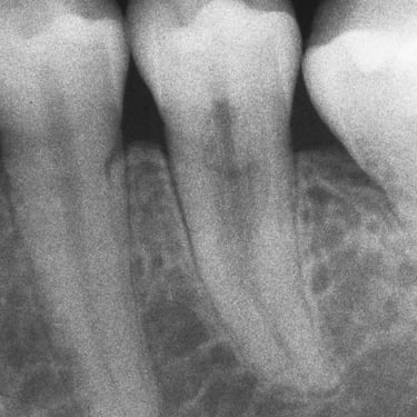
Hipercementosis

La hipercementosis es un engrosamiento anormal del cemento radicular del diente, a menudo debido a una inflamación crónica o trauma.

Los pacientes generalmente no tienen síntomas, pero la condición puede ser descubierta en una radiografía.

El tratamiento no suele ser necesario a menos que cause problemas con la extracción del diente.

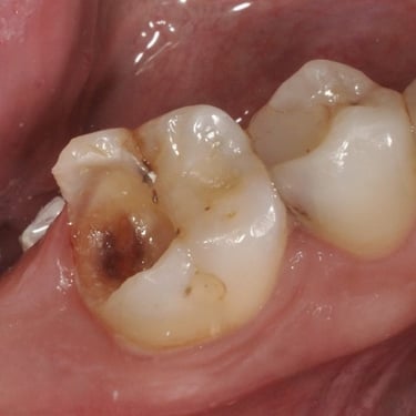
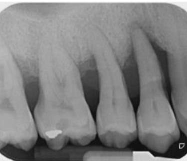
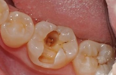
Caries Radicular

La caries radicular es la descomposición del cemento y la dentina en la raíz del diente, común en personas mayores con recesión gingival.

Los pacientes pueden experimentar sensibilidad y dolor en la raíz expuesta.

El tratamiento incluye la eliminación de la caries y la restauración de la raíz. La prevención incluye una buena higiene oral y el uso de flúor.

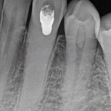
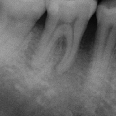
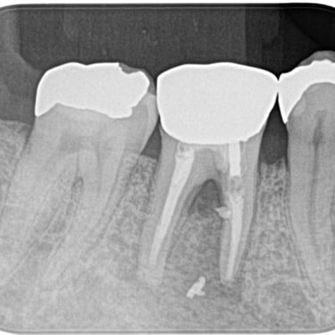
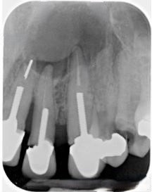
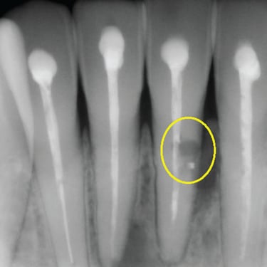
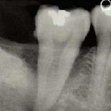
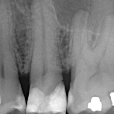
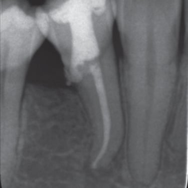
Calcificación Pulpar

La calcificación pulpar es la formación de depósitos de calcio dentro de la pulpa dental, que puede dificultar el tratamiento de conducto.

Los pacientes generalmente no tienen síntomas, pero pueden experimentar sensibilidad.

El tratamiento incluye la eliminación de los depósitos durante el tratamiento de conducto. Es importante tratarlo para evitar complicaciones durante el procedimiento.

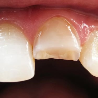
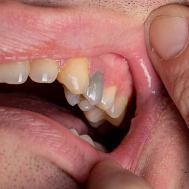
Lesión Traumática Pulpar

Una lesión traumática pulpar es un daño a la pulpa dental debido a un trauma, como un golpe en el diente.

Los pacientes pueden experimentar dolor, sensibilidad y decoloración del diente.

El tratamiento incluye evaluar la vitalidad de la pulpa y, si es necesario, realizar un tratamiento de conducto. Es importante tratar la lesión para evitar complicaciones a largo plazo.

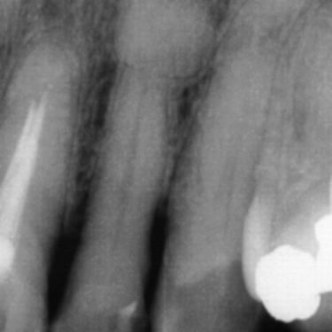
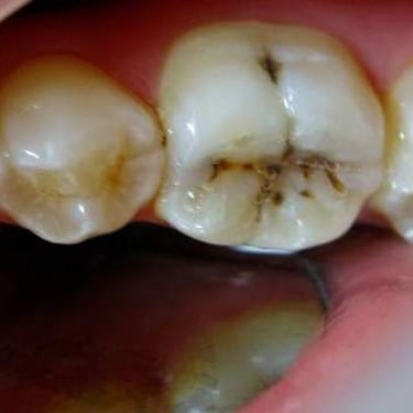
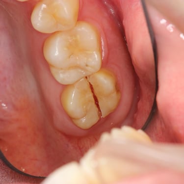
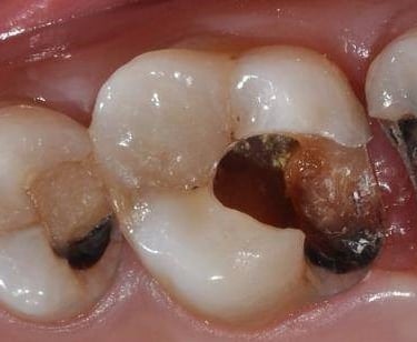
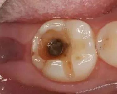
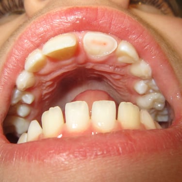
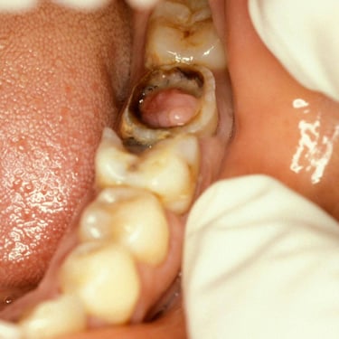
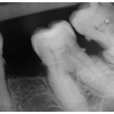
Pulpitis Crónica Hiperplásica

La pulpitis crónica hiperplásica es una inflamación de la pulpa con crecimiento excesivo de tejido pulpar a través de una caries abierta.

Los pacientes notan un tejido rojo que sobresale de la cavidad dental.

El tratamiento incluye la eliminación del tejido afectado y un tratamiento de conducto. Es crucial tratar la caries para evitar infecciones adicionales.

Sunshine Bay Residence

Equipped with full air conditioning, a private pool, 3 on-suite bedrooms, and a spacious open living room kitchen area, Sunshine Bay Residences is an excellent choice for anyone dreaming of their own safe haven.