Consejos para el cuidado diario
¿Sabías que con unos simples hábitos puedes evitar la mayoría de los problemas dentales? Aprende a cuidar tu salud bucal en casa y a identificar cuándo es el momento de visitar a un especialista?
Hábitos Esenciales para tu Salud Bucal
Los pasos esenciales para mantener una boca limpia y saludable


Cepillado diario
Cepíllate los dientes al menos dos veces al día usando un cepillo de cerdas suaves y una técnica adecuada. Realiza movimientos circulares y enfócate en todas las superficies de los dientes. Esto ayuda a eliminar la placa, prevenir caries y proteger tus encías de inflamaciones.
Fuente: American Dental Association (ADA).
Uso de hilo dental
El hilo dental es clave para mantener una buena salud bucal. Al menos una vez al día, pásalo entre cada diente para remover restos de comida y placa que el cepillo no puede alcanzar. Esto previene caries interdentales y enfermedades de las encías.
Fuente: "Flossing for Interdental Cleaning," Journal of Clinical Periodontology, 2020.




Cambio del cepillo
Cambia tu cepillo dental cada 2 meses o cuando notes que las cerdas están desgastadas. Un cepillo en mal estado pierde efectividad y puede dañar las encías. Un cepillo nuevo asegura una limpieza más eficiente y cómoda.
Fuente: "The Effect of Toothbrush Wear on Plaque Removal," International Journal of Dental Hygiene, 2018.
Uso de enjuague bucal
Los enjuagues bucales complementan el cepillado y el hilo dental, ayudando a reducir bacterias y fortalecer el esmalte gracias al flúor. Úsalo después del cepillado y no lo reemplaces por este, ya que no remueve la placa directamente.
Fuente: "Efficacy of Fluoride Mouthrinse," Cochrane Database of Systematic Reviews, 2020.




Evitar cepillado agresivo
Cepillar con demasiada fuerza puede desgastar el esmalte y causar retracción de las encías. Usa movimientos suaves, un cepillo de cerdas suaves y evita el uso excesivo de pastas abrasivas para mantener la salud dental.
Próximamente más consejos y recomendaciones sobre Hábitos Esenciales para tu Salud Bucal
En Dentistas Para Todos, trabajamos continuamente para brindarte información clara y útil sobre el cuidado de tu salud bucal. Sigue explorando más tips 🦷 y descubre nuestros contenidos sobre diagnósticos clínicos 🔍 y procedimientos dentales 🔍 para estar bien informado.




Prevención de Enfermedades Dentales
Consejos prácticos para evitar caries, gingivitis y otros problemas bucales


Visitas regulares al dentista
Las consultas dentales cada seis meses permiten detectar problemas como caries, enfermedad periodontal o desgaste dental en sus etapas iniciales. La prevención siempre es menos costosa y más efectiva que el tratamiento tardío.
Fuente: "Frequency of Dental Checkups and Oral Health Outcomes," Journal of Dental Research, 2021.
Reducción de azúcar
Limitar el consumo de azúcar reduce el riesgo de caries, ya que las bacterias orales convierten los azúcares en ácidos que dañan el esmalte. Opta por alternativas saludables como frutas frescas y evita bebidas azucaradas.
Fuente: "Sugar Consumption and Dental Caries," The Lancet, 2020.




Eliminación de la placa
Las limpiezas dentales profesionales eliminan la placa y el sarro acumulados que no se remueven con el cepillado diario. Este procedimiento previene enfermedades periodontales y mejora la salud bucal general.
Fuente: "Scaling and Root Planing in Periodontal Therapy," Journal of Periodontology, 2019.
Uso del sellante dental
Los sellantes dentales actúan como una barrera protectora en los molares y premolares, evitando que las bacterias se acumulen en los surcos profundos. Son ideales para prevenir caries en niños y adolescentes.
Fuente: "Sealants for Preventing Dental Caries," Cochrane Review, 2021.




Hábitos de higiene complementarios
Cepillar la lengua elimina bacterias acumuladas que pueden causar mal aliento. Usa un limpiador lingual o el reverso de tu cepillo para incluir este paso en tu rutina diaria.
Fuente: "Role of Tongue Cleaning in Oral Health," Journal of Oral Microbiology, 2020
Próximamente más consejos y recomendaciones sobre Prevención de Enfermedades Dentales
En Dentistas Para Todos, trabajamos continuamente para brindarte información clara y útil sobre el cuidado de tu salud bucal. Sigue explorando más tips 🦷 y descubre nuestros contenidos sobre diagnósticos clínicos 🔍 y procedimientos dentales 🔍 para estar bien informado.




Cuándo Acudir al Dentista
Señales de alerta y la importancia de las visitas regulares al dentista


Dolor dental
El dolor persistente o intenso puede indicar caries, infecciones o problemas en el nervio. Consultar a tiempo evita complicaciones mayores y permite tratar la causa subyacente de manera efectiva.
Fuente: "Diagnosing and Treating Dental Pain," International Endodontic Journal, 2019.
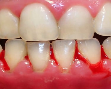
Sangrado de encías
Si tus encías sangran al cepillarte, esto puede ser un signo de gingivitis o periodontitis. Ambas condiciones requieren tratamiento profesional para evitar pérdida de dientes y daño óseo.
Fuente: "Gum Disease: Signs and Symptoms," Periodontology 2000, 2020.




Sensibilidad dental
Si sientes dolor o incomodidad al comer alimentos fríos, calientes o dulces, es posible que tengas hipersensibilidad. Un diagnóstico temprano puede prevenir el desgaste del esmalte y problemas mayores.
Fuente: "Hypersensitivity: Causes and Treatment," Journal of Dentistry, 2018.
Pérdida de piezas dentales
La pérdida de un diente afecta la mordida, la estética y la salud bucal en general. Reemplazarlo a tiempo con prótesis o implantes evita el movimiento de otros dientes y problemas de masticación.
Fuente: "Impact of Missing Teeth on Oral Function," Clinical Oral Investigations, 2021.




Revisión preventiva
Incluso si no tienes molestias, las visitas regulares al dentista permiten mantener una salud bucal óptima, detectar caries incipientes y prevenir problemas costosos.
Fuente: "Preventive Dentistry Practices," Journal of Preventive Medicine, 2020.
Próximamente más consejos y recomendaciones sobre Cuándo Acudir al Dentista
En Dentistas Para Todos, trabajamos continuamente para brindarte información clara y útil sobre el cuidado de tu salud bucal. Sigue explorando más tips 🦷 y descubre nuestros contenidos sobre diagnósticos clínicos 🔍 y procedimientos dentales 🔍 para estar bien informado.




Cuidado Bucal para Niños
Recomendaciones para guiar a los más pequeños en su salud dental.


Introducir hábitos tempranos
Enseña a los niños la importancia del cepillado desde pequeños, usando técnicas divertidas para motivarlos. Esto forma bases sólidas para una buena salud bucal a futuro.
Fuente: "Oral Health Education for Children," International Journal of Pediatric Dentistry, 2021.
Uso de pasta dental infantil
Opta por pastas con flúor adaptadas a niños para prevenir caries sin riesgo de ingerir demasiado flúor. Consulta la cantidad adecuada con el odontólogo.
Fuente: "Fluoride Toothpaste Use in Children," Pediatric Dentistry Journal, 2020.




Evitar la mamadera (biberón) nocturna
Dar jugos o leche en biberón antes de dormir puede causar caries del biberón. Cambia el líquido por agua o fomenta el uso de un vaso.
Fuente: "Bottle Feeding and Early Childhood Caries," Journal of Clinical Pediatric Dentistry,
Primera visita al dentista
Lleva a los niños al odontólogo antes de su primer año de vida. Esto permite detectar anomalías tempranas y familiarizarlos con las consultas.
Fuente: "Pediatric Oral Health Guidelines," American Academy of Pediatric Dentistry, 2020.




Alimentación saludable
Reduce azúcares y fomenta alimentos ricos en calcio como leche y vegetales para fortalecer dientes en desarrollo.
Fuente: "Diet and Dental Health in Children," Journal of Pediatric Nutrition, 2018.
Próximamente más consejos y recomendaciones sobre Cuidado Bucal para Niños
En Dentistas Para Todos, trabajamos continuamente para brindarte información clara y útil sobre el cuidado de tu salud bucal. Sigue explorando más tips 🦷 y descubre nuestros contenidos sobre diagnósticos clínicos 🔍 y procedimientos dentales 🔍 para estar bien informado.




Salud Bucal en Adultos Mayores
Cómo cuidar los dientes y encías en esta etapa de la vida


Cepillos eléctricos para mayor comodidad
Los adultos mayores pueden beneficiarse del uso de cepillos eléctricos para realizar una limpieza más eficiente y menos exigente. Este tipo de cepillo ayuda a remover más placa y facilita la higiene bucal.
Fuente: "Electric Toothbrushes in Elderly Care," Gerodontology Journal, 2021.
Prótesis dentales bien ajustadas
Es fundamental que las prótesis sean revisadas periódicamente para asegurar su ajuste y evitar molestias o lesiones en las encías.
Fuente: "Maintenance of Dentures in Older Adults," Journal of Prosthodontics, 2020.




Evitar la sequedad bucal
La xerostomía o sequedad bucal es común en adultos mayores debido a medicamentos. Mantenerse hidratado y usar enjuagues humectantes ayuda a aliviar este problema.
Fuente: "Managing Xerostomia in Elderly Patients," Clinical Oral Investigations, 2019.
Dieta rica en nutrientes
Consumir alimentos ricos en calcio y vitamina D fortalece los dientes y reduce el riesgo de fracturas mandibulares.
Fuente: "Nutrition and Oral Health in Aging," Journal of Geriatric Dentistry, 2021.




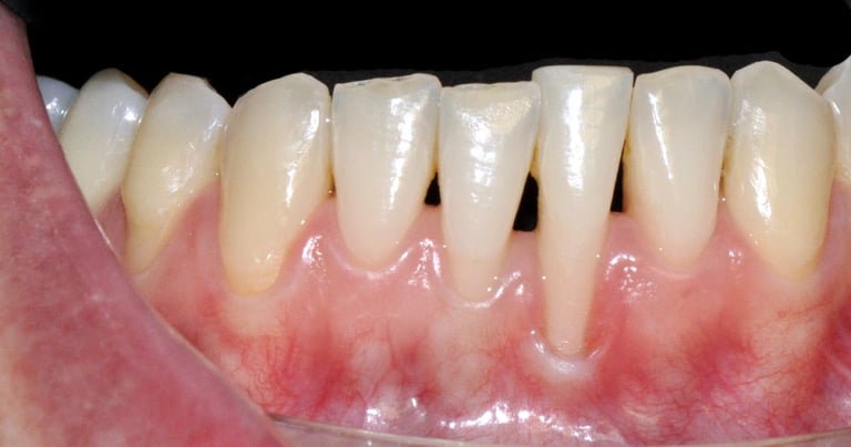
Control de enfermedades periodontales
Las encías retraídas o inflamadas requieren cuidado especializado para prevenir pérdida ósea y dental.
Fuente: "Periodontal Disease in Older Adults," Periodontology 2000, 2020.
Próximamente más consejos y recomendaciones sobre Salud Bucal en Adultos Mayores
En Dentistas Para Todos, trabajamos continuamente para brindarte información clara y útil sobre el cuidado de tu salud bucal. Sigue explorando más tips 🦷 y descubre nuestros contenidos sobre diagnósticos clínicos 🔍 y procedimientos dentales 🔍 para estar bien informado.




Alimentación y Salud Bucal
Los alimentos que fortalecen tu sonrisa y los que debes evitar


Alimentos ricos en calcio y vitamina D
Consumir alimentos como leche, queso, yogur, pescado y vegetales verdes oscuros fortalece los dientes y huesos. Estas opciones también ayudan a prevenir fracturas y mantienen el esmalte dental saludable.
Fuente: "Nutrition and Oral Health," Journal of Clinical Nutrition, 2020.
Evitar alimentos pegajosos
Dulces como caramelos y galletas pegajosas se adhieren a los dientes y promueven la caries. Opta por frutas frescas como manzanas o zanahorias que además ayudan a limpiar la placa superficial.
Fuente: "Impact of Sticky Foods on Oral Health," Journal of Dentistry, 2021.




Limitar bebidas ácidas
Bebidas como refrescos, jugos ácidos y vino erosionan el esmalte dental. Opta por agua o infusiones sin azúcar para mantener una boca saludable.
Fuente: "Acidic Beverages and Enamel Erosion," International Journal of Oral Science, 2019.
Beneficios de alimentos crujientes
Vegetales como apio y zanahorias promueven la producción de saliva, lo que ayuda a neutralizar ácidos y proteger el esmalte dental.
Fuente: "Natural Saliva Boosters in Diet," Oral Health Journal, 2020.




Reducción de azúcares ocultos
Lee las etiquetas de alimentos procesados para identificar azúcares ocultos que pueden afectar la salud bucal. Prefiere opciones integrales y naturales.
Fuente: "Hidden Sugars and Their Effects," Clinical Oral Investigations, 2021.
Próximamente más consejos y recomendaciones sobre Alimentación y Salud Bucal
En Dentistas Para Todos, trabajamos continuamente para brindarte información clara y útil sobre el cuidado de tu salud bucal. Sigue explorando más tips 🦷 y descubre nuestros contenidos sobre diagnósticos clínicos 🔍 y procedimientos dentales 🔍 para estar bien informado.




Cuidado Especial para Pacientes con Ortodoncia
Tips para mantener una higiene impecable durante tu tratamiento


Cepillado minucioso
Dedica tiempo a limpiar entre los brackets y debajo de los alambres para evitar la acumulación de placa y caries. Usa cepillos interdentales y pasta con flúor.
Fuente: "Oral Hygiene in Orthodontic Patients," American Journal of Orthodontics, 2020.
Uso de ceras protectoras
Las ceras ortodónticas ayudan a evitar rozaduras y molestias causadas por los brackets en la mucosa oral. Consulta a tu ortodoncista sobre cómo usarlas correctamente.
Fuente: "Orthodontic Wax for Comfort," Journal of Clinical Orthodontics, 2021.




Evitar alimentos duros
No consumas alimentos como nueces o palomitas, ya que pueden dañar los brackets o alambres. Opta por alimentos blandos o cortados en trozos pequeños.
Fuente: "Dietary Recommendations for Orthodontic Patients," Orthodontics Journal, 2020.
Irrigadores bucales
Estos dispositivos son ideales para eliminar restos de comida y placa en pacientes con ortodoncia, facilitando la higiene bucal diaria.
Fuente: "Water Flossing in Orthodontic Care," Journal of Periodontology, 2021.




Revisiones regulares
Visita al ortodoncista cada 4-6 semanas para ajustar el tratamiento y controlar la salud bucal durante el proceso.
Fuente: "Orthodontic Maintenance Visits," International Journal of Orthodontics, 2019.
Próximamente más consejos y recomendaciones sobre Cuidado Especial para Pacientes con Ortodoncia
En Dentistas Para Todos, trabajamos continuamente para brindarte información clara y útil sobre el cuidado de tu salud bucal. Sigue explorando más tips 🦷 y descubre nuestros contenidos sobre diagnósticos clínicos 🔍 y procedimientos dentales 🔍 para estar bien informado.




Hábitos que Dañan tu Sonrisa
Identifica y evita conductas que afectan tu salud dental


Morder objetos duros
Hábito común como morder lapiceros o hielo puede fracturar los dientes o dañar el esmalte. Evita estas conductas para proteger tu sonrisa.
Fuente: "Dental Fractures and Oral Habits," Journal of Dental Trauma, 2021.
Bruxismo
Rechinar los dientes causa desgaste y sensibilidad dental. Consulta sobre el uso de una férula nocturna para proteger tus dientes.
Fuente: "Management of Bruxism," Sleep Medicine Reviews, 2020.




Fumar
El tabaco mancha los dientes, afecta las encías y aumenta el riesgo de cáncer oral. Busca ayuda profesional para dejar este hábito.
Fuente: "Smoking and Oral Health," Journal of Oral Oncology, 2019.
Uso excesivo de blanqueadores
Los tratamientos de blanqueamiento no supervisados pueden debilitar el esmalte y causar sensibilidad. Consulta siempre a un dentista.
Fuente: "Risks of Overusing Whitening Products," Dental Materials Journal, 2020.




Dieta rica en azúcares
Consumo excesivo de dulces o bebidas azucaradas causa caries. Reduce estos alimentos y refuerza la higiene diaria para mantener una sonrisa saludable.
Fuente: "Sugar-Related Dental Decay," The Lancet, 2020.
Próximamente más consejos y recomendaciones sobre Hábitos que Dañan tu Sonrisa
En Dentistas Para Todos, trabajamos continuamente para brindarte información clara y útil sobre el cuidado de tu salud bucal. Sigue explorando más tips 🦷 y descubre nuestros contenidos sobre diagnósticos clínicos 🔍 y procedimientos dentales 🔍 para estar bien informado.




Mitos y Verdades sobre el Cuidado Dental
Aclaramos dudas frecuentes para mejorar tu autocuidado.


El bicarbonato como blanqueador natural
Aunque es abrasivo y puede blanquear, el uso frecuente daña el esmalte. Consulta con tu dentista antes de probar remedios caseros. Evitarás problemas mayores como sensibilidad o erosión permanente.
Fuente: "Effects of Abrasive Agents on Enamel," Journal of Dental Research, 2021
El enjuague bucal reemplaza el cepillado
Falso. El enjuague complementa el cepillado, pero no elimina la placa bacteriana. Su uso adecuado ayuda a reducir bacterias y refrescar el aliento, pero no sustituye una rutina de higiene completa.
Fuente: "Role of Mouthwash in Oral Hygiene," Cochrane Reviews, 2020.




La sensibilidad dental es irreversible
Falso. Con el tratamiento adecuado, como pastas desensibilizantes y visitas regulares al dentista, es posible reducir y manejar la sensibilidad dental. La detección temprana es clave.
Fuente: "Management of Dental Hypersensitivity," Journal of Clinical Dentistry, 2019.
Los dientes de leche no necesitan cuidado
Mito peligroso. Los dientes temporales son fundamentales para la salud bucal futura. Su cuidado previene problemas en los dientes permanentes y ayuda en el desarrollo de una correcta mordida.
Fuente: "Primary Teeth and Their Role in Oral Health," Pediatric Dentistry Journal, 2020.




Masticar chicle sustituye el cepillado
Falso. Aunque los chicles sin azúcar pueden estimular la producción de saliva, no sustituyen el cepillado ni la limpieza interdental. Sólo son un complemento.
Fuente: "Effects of Sugar-Free Gum on Oral Health," International Journal of Dental Hygiene, 2021.
Próximamente más consejos y recomendaciones sobre Mitos y Verdades sobre el Cuidado Dental
En Dentistas Para Todos, trabajamos continuamente para brindarte información clara y útil sobre el cuidado de tu salud bucal. Sigue explorando más tips 🦷 y descubre nuestros contenidos sobre diagnósticos clínicos 🔍 y procedimientos dentales 🔍 para estar bien informado.




Salud Bucal y Embarazo
Cómo proteger tus dientes y encías durante esta etapa especial


Salud Bucal y Embarazo
Visitas al dentista durante el embarazo: Es seguro y necesario. Las consultas previenen y manejan problemas como gingivitis gestacional, que afecta hasta el 50% de las embarazadas. La prevención es crucial en esta etapa para la salud materno-fetal.
Fuente: "Pregnancy and Oral Health," Journal of Maternal Health, 2020.
Cuidado especial de las encías
Los cambios hormonales pueden causar inflamación. Cepilla y usa hilo dental regularmente para prevenir problemas mayores como periodontitis.
Fuente: "Hormonal Changes and Gum Health," Periodontology 2000, 2021.




Enjuagues sin alcohol
Prefiere enjuagues bucales sin alcohol para reducir la inflamación de las encías sin causar irritación adicional. Consulta al dentista sobre la mejor opción para ti.
Fuente: "Safe Oral Rinses During Pregnancy," Clinical Oral Investigations, 2020.
Evitar procedimientos electivos
Durante el primer trimestre, pospón tratamientos que no sean urgentes. Prioriza limpiezas y control de infecciones para prevenir complicaciones innecesarias.
Fuente: "Dental Care Guidelines for Pregnant Women," Journal of Obstetric Dentistry, 2019.




Suplementos de calcio
Incluye alimentos ricos en calcio y vitamina D para fortalecer los dientes y huesos del bebé en desarrollo. Consulta a tu médico sobre la dosis adecuada.
Fuente: "Nutrition and Oral Health in Pregnancy," American Journal of Clinical Nutrition, 2021.
Próximamente más consejos y recomendaciones sobre Salud Bucal y Embarazo
En Dentistas Para Todos, trabajamos continuamente para brindarte información clara y útil sobre el cuidado de tu salud bucal. Sigue explorando más tips 🦷 y descubre nuestros contenidos sobre diagnósticos clínicos 🔍 y procedimientos dentales 🔍 para estar bien informado.




Cuidados Post-Tratamientos Dentales
Consejos para recuperarte después de limpiezas, extracciones o tratamientos.


Limpiezas dentales profesionales
Tras una limpieza, evita alimentos ácidos y cepilla con suavidad para proteger las encías sensibles. Este cuidado adicional permite prolongar los beneficios de la limpieza y mantener una boca sana.
Fuente: "Post-Cleaning Care," Journal of Preventive Dentistry, 2020.
Extracciones dentales
Sigue las instrucciones del dentista, como evitar enjuagues fuertes y no fumar, para prevenir infecciones como el alveolo seco. Es crucial mantener una dieta blanda y cuidar el sitio de la extracción para una recuperación rápida.
Fuente: "Guidelines for Tooth Extraction Aftercare," Oral Surgery Journal, 2019.




Blanqueamiento dental
Evita alimentos que manchen como café o vino durante las primeras 48 horas tras el tratamiento para preservar los resultados del blanqueamiento y prevenir manchas nuevas.
Fuente: "Post-Whitening Care," Journal of Esthetic Dentistry, 2021.
Colocación de coronas o resinas
Evita masticar alimentos duros durante las primeras horas para garantizar que el material de la restauración se asiente correctamente y prevenir fracturas.
Fuente: "Restorative Dentistry Aftercare," Journal of Prosthodontics, 2020.




Implantes dentales
Mantén una dieta blanda durante los primeros días y sigue una rutina de higiene minuciosa para evitar infecciones en el sitio quirúrgico. Asiste a las revisiones programadas por tu dentista.
Fuente: "Post-Implant Care Recommendations," Journal of Oral Implantology, 2021.
Próximamente más consejos y recomendaciones sobre Cuidados Post-Tratamientos Dentales
En Dentistas Para Todos, trabajamos continuamente para brindarte información clara y útil sobre el cuidado de tu salud bucal. Sigue explorando más tips 🦷 y descubre nuestros contenidos sobre diagnósticos clínicos 🔍 y procedimientos dentales 🔍 para estar bien informado.




Mal Aliento: Causas y Soluciones
Descubre cómo mantener un aliento fresco y saludable


Identificar la causa
El mal aliento puede ser causado por acumulación de bacterias en la lengua, encías o caries no tratadas. Mantén una higiene bucal adecuada y consulta a tu dentista si el problema persiste.
Fuente: "Halitosis: A Systemic Review," Journal of Clinical Oral Investigations, 2020.
Importancia de la lengua limpia
Usa un limpiador lingual o el reverso del cepillo para eliminar bacterias acumuladas, principal causa del mal aliento matutino.
Fuente: "Role of Tongue Cleaning in Halitosis Management," Oral Health Journal, 2019.




Hidratación constante
La sequedad bucal facilita el desarrollo de bacterias. Beber agua regularmente ayuda a mantener una buena producción de saliva.
Fuente: "Xerostomia and Halitosis," Journal of Oral Pathology, 2021.
Alimentos que ayudan
Consumir frutas y vegetales crujientes, como manzanas y zanahorias, promueve la limpieza natural de los dientes y mejora el aliento.
Fuente: "Dietary Impact on Halitosis," Journal of Dental Research, 2020.




Evitar tabaco y alcohol
Ambos productos resecan la boca y contribuyen al mal aliento. Reducir su consumo mejora el aliento y reduce riesgos para la salud general.
Fuente: "Tobacco, Alcohol, and Halitosis," International Journal of Dental Hygiene, 2021.
Próximamente más consejos y recomendaciones sobre Mal Aliento: Causas y Soluciones
En Dentistas Para Todos, trabajamos continuamente para brindarte información clara y útil sobre el cuidado de tu salud bucal. Sigue explorando más tips 🦷 y descubre nuestros contenidos sobre diagnósticos clínicos 🔍 y procedimientos dentales 🔍 para estar bien informado.




Innovaciones en el Cuidado Dental
Nuevas tecnologías y productos para mejorar tu salud bucal


Cepillos de dientes inteligentes
Algunos modelos monitorean tu rutina de cepillado y ofrecen retroalimentación a través de aplicaciones móviles. Esto permite mejorar la técnica y garantizar una limpieza efectiva.
Fuente: "Smart Toothbrush Technology," Journal of Dental Innovations, 2021.
Pastas dentales con nanotecnología
Diseñadas para reforzar el esmalte y combatir bacterias con mayor efectividad, estas pastas representan una revolución en la prevención de caries y sensibilidad dental.
Fuente: "Nanotechnology in Oral Care Products," Dental Materials Journal, 2020.




Enjuagues con probióticos
Ayudan a equilibrar la flora bucal y prevenir enfermedades como la gingivitis y caries. Estos productos son ideales para pacientes que buscan alternativas naturales y efectivas.
Fuente: "Probiotics in Oral Health," International Journal of Probiotics, 2021.
Ortodoncia invisible
Los alineadores transparentes como Invisalign son una opción cómoda y estética para corregir la alineación dental. Están diseñados para ser menos invasivos y más fáciles de mantener limpios que los brackets tradicionales.
Fuente: "Advancements in Orthodontic Aligners," American Journal of Orthodontics, 2020.




Impresión 3D en odontología
Utilizada para fabricar coronas, puentes y modelos ortodónticos con mayor precisión y rapidez. Esta tecnología también permite reducir costos y tiempo en los tratamientos.
Fuente: "3D Printing in Dentistry," Journal of Dental Technology, 2019.
Próximamente más consejos y recomendaciones sobre Innovaciones en el Cuidado Dental
En Dentistas Para Todos, trabajamos continuamente para brindarte información clara y útil sobre el cuidado de tu salud bucal. Sigue explorando más tips 🦷 y descubre nuestros contenidos sobre diagnósticos clínicos 🔍 y procedimientos dentales 🔍 para estar bien informado.




Virales y Recomendaciones Dentales
Lo bueno, lo malo y lo peligroso de las tendencias en redes sociales.


Blanqueadores caseros virales
Muchas tendencias en redes sociales sugieren usar bicarbonato o carbón activado para blanquear los dientes. Aunque pueden parecer efectivos a corto plazo, estos métodos desgastan el esmalte y causan sensibilidad dental. Evita usarlos sin la supervisión de un dentista.
Fuente: "Risks of Abrasive Dental Products," Journal of Dental Research, 2021.
Retos de redes sociales
Algunos retos virales implican usar herramientas no aptas para retirar caries o manchas. Estas prácticas pueden causar daños graves en los dientes y encías, como fracturas o infecciones. Consulta siempre a un profesional.
Fuente: "Social Media Challenges and Oral Health," International Journal of Dentistry, 2020




Productos "milagrosos"
Cuidado con pastas o kits que prometen resultados inmediatos sin respaldo profesional. Muchos de estos productos no están aprobados por entidades regulatorias y pueden dañar tu salud bucal.
Fuente: "Efficacy of Viral Dental Products," Journal of Oral Health, 2021.
Tendencias con alineadores caseros
Algunas personas intentan alinear sus dientes en casa con dispositivos de baja calidad. Esto puede causar maloclusiones o daños irreparables. Los tratamientos ortodónticos deben ser siempre supervisados por un especialista.
Fuente: "Dangers of DIY Orthodontics," Journal of Clinical Orthodontics, 2020.




Uso de productos virales correctamente
Algunos productos populares, como enjuagues bucales o cepillos eléctricos, pueden ser beneficiosos si se utilizan adecuadamente. Consulta con un dentista para saber cuáles son útiles para ti.
Fuente: "Evaluation of Popular Oral Care Products," Journal of Dental Innovation, 2021.
Próximamente más consejos y recomendaciones sobre Virales y Recomendaciones Dentales
En Dentistas Para Todos, trabajamos continuamente para brindarte información clara y útil sobre el cuidado de tu salud bucal. Sigue explorando más tips 🦷 y descubre nuestros contenidos sobre diagnósticos clínicos 🔍 y procedimientos dentales 🔍 para estar bien informado.




Odontología y Medio Ambiente
Productos y prácticas sostenibles para cuidar tu sonrisa y el planeta


Cepillos biodegradables
Cambiar los cepillos de plástico por opciones de bambú o materiales reciclados ayuda a reducir el impacto ambiental de los desechos dentales. Estos pequeños cambios generan un gran impacto en el medio ambiente.
Fuente: "Sustainable Practices in Dentistry," Green Dentistry Journal, 2021.
Clínicas ecológicas
Algunas clínicas están implementando paneles solares y sistemas de reciclaje para minimizar su huella de carbono. Pregunta a tu dentista si está aplicando estas prácticas sostenibles.
Fuente: "Eco-Friendly Dental Practices," Journal of Environmental Dentistry, 2020.




Desecho de amalgamas
Asegúrate de que tu clínica utilice sistemas de eliminación segura para amalgamas y mercurio, previniendo la contaminación ambiental. Este tipo de control también protege los ecosistemas acuáticos.
Fuente: "Safe Disposal of Dental Amalgams," Journal of Dental Safety, 2021.
Productos eco-friendly
Opta por pastas dentales y enjuagues bucales con empaques reciclables. Además, busca alternativas rellenables para minimizar los residuos.
Fuente: "Eco-Conscious Dental Products," Dental Sustainability Journal, 2019.




Reducir el uso de agua al cepillarte
Cierra la llave del agua mientras cepillas tus dientes. Esto puede ahorrar hasta 20 litros de agua por día, contribuyendo significativamente a la conservación de este recurso vital.
Fuente: "Water Conservation in Oral Health Practices," Environmental Oral Health Journal, 2021.
Próximamente más consejos y recomendaciones sobre Odontología y Medio Ambiente
En Dentistas Para Todos, trabajamos continuamente para brindarte información clara y útil sobre el cuidado de tu salud bucal. Sigue explorando más tips 🦷 y descubre nuestros contenidos sobre diagnósticos clínicos 🔍 y procedimientos dentales 🔍 para estar bien informado.




Cuidados para Dientes Sensibles
Aclaramos dudas frecuentes para mejorar tu autocuidado.


Uso de pastas desensibilizantes
Estas pastas ayudan a bloquear los nervios expuestos y reducen el dolor al consumir alimentos fríos, calientes o dulces. La aplicación regular refuerza las zonas debilitadas del esmalte.
Fuente: "Efficacy of Desensitizing Toothpastes," Journal of Clinical Dentistry, 2020.
Evitar alimentos ácidos
Bebidas como jugos cítricos o refrescos erosionan el esmalte y aumentan la sensibilidad. Modera su consumo o acompáñalos con agua para reducir el impacto ácido.
Fuente: "Dietary Impact on Dental Sensitivity," Journal of Nutrition and Oral Health, 2019.




Cepillado adecuado
Usa cepillos de cerdas ultrasuaves y evita movimientos bruscos para no dañar el esmalte ni las encías. Una técnica adecuada puede prevenir el desgaste adicional.
Fuente: "Brushing Techniques for Sensitive Teeth," International Journal of Oral Hygiene, 2021.
Tratamientos profesionales
Consulta al dentista para aplicar barnices de flúor o selladores que protejan las superficies dentales expuestas. Estos tratamientos ofrecen alivio inmediato y fortalecen los dientes.
Fuente: "Professional Treatments for Sensitivity," Journal of Oral Therapies, 2020.




Evitar blanqueamientos agresivos
Los productos de blanqueamiento no supervisados pueden empeorar la sensibilidad. Consulta siempre a un especialista para garantizar tu salud bucal.
Fuente: "Effects of Whitening on Sensitive Teeth," Journal of Esthetic Dentistry, 2019.
Próximamente más consejos y recomendaciones sobre Cuidados para Dientes Sensibles
En Dentistas Para Todos, trabajamos continuamente para brindarte información clara y útil sobre el cuidado de tu salud bucal. Sigue explorando más tips 🦷 y descubre nuestros contenidos sobre diagnósticos clínicos 🔍 y procedimientos dentales 🔍 para estar bien informado..




Herramientas de Higiene Bucal
Aclaramos dudas frecuentes para mejorar tu autocuidado.


Limpiadores de lengua
La lengua puede acumular bacterias que causan mal aliento. Los limpiadores linguales eliminan esta acumulación de manera efectiva, complementando el cepillado y el uso de hilo dental. Incorporar este hábito mejora el aliento y la salud bucal general.
Fuente: "Tongue Cleaning and Oral Hygiene," Oral Microbiology Journal, 2021.
Cepillos interdentales
Diseñados para limpiar los espacios entre los dientes donde el cepillo convencional no llega. Son ideales para personas con ortodoncia o espacios amplios entre dientes. Su uso diario ayuda a prevenir caries y enfermedades periodontales.
Fuente: "Interdental Cleaning for Plaque Control," Journal of Clinical Periodontology, 2020.




Tipos de seda dental
Existen opciones enceradas, no enceradas, con sabores, y hasta superfloss para personas con puentes o brackets. Elegir el tipo adecuado facilita su uso y mejora la limpieza interdental según las necesidades individuales.
Fuente: "Effectiveness of Various Floss Types," Cochrane Database of Systematic Reviews, 2019.
Pastas dentales especializadas
Desde opciones para dientes sensibles hasta pastas blanqueadoras o con flúor adicional, elegir la adecuada según tus necesidades mejora significativamente la salud bucal.
Fuente: "Effectiveness of Specialty Toothpastes," International Journal of Dental Science, 2020.




Porta cepillos y herramientas de viaje
Mantener las herramientas limpias y organizadas, especialmente en viajes, evita la acumulación de bacterias. Existen porta cepillos con ventilación y kits compactos que incluyen hilo y cepillos interdentales.
Fuente: "Storage Solutions for Dental Tools," Green Dental Practices Journal, 2020
Próximamente más consejos y recomendaciones sobre Herramientas de Higiene Bucal
En Dentistas Para Todos, trabajamos continuamente para brindarte información clara y útil sobre el cuidado de tu salud bucal. Sigue explorando más tips 🦷 y descubre nuestros contenidos sobre diagnósticos clínicos 🔍 y procedimientos dentales 🔍 para estar bien informado.



