Ortodoncia
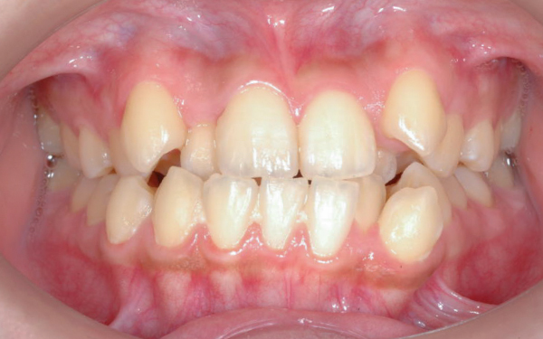
Es un examen exhaustivo donde se analizan los dientes, encías y mandíbula mediante radiografías y modelos. Esto ayuda a identificar problemas y planificar un tratamiento personalizado.


Evaluación ortodóntica inicial
Se realiza un seguimiento del crecimiento de los dientes y las mandíbulas para asegurar que el tratamiento avanza correctamente. Permite ajustar el plan de tratamiento según el desarrollo del paciente.


Evaluación de crecimiento y desarrollo
Se colocan pequeños brackets de metal en cada diente, que se conectan con un alambre para guiar los dientes hacia la posición deseada. Son muy efectivos para corregir problemas complejos de alineación.


Brackets Metálicos
Estos brackets son menos visibles porque están hechos de un material cerámico que se mezcla con el color de los dientes. Ofrecen una opción más estética, especialmente para adolescentes y adultos.


Brackets Estéticos
Los alambres se cambian o ajustan periódicamente para aplicar la presión necesaria y mover los dientes gradualmente hacia su posición correcta. Esto es crucial para el progreso del tratamiento.


Ajuste de alambres de ortodoncia
Son bandas elásticas que se colocan entre los dientes superiores e inferiores para ayudar a mejorar la alineación y la mordida. Ayudan a corregir discrepancias en la relación entre los arcos dentales.


Colocación de elásticos intermaxilares
Los brackets linguales se colocan en la parte interna de los dientes, es decir, en el lado de la lengua. Ofrece una opción estética, ya que son prácticamente invisibles desde el exterior.
Funcionan de manera similar a los brackets tradicionales, aplicando presión sobre los dientes para moverlos gradualmente hacia la posición deseada. Son una excelente opción para aquellos que buscan un tratamiento de ortodoncia discreto.


Brackets Linguales
Los alineadores son férulas hechas a medida que se cambian cada pocas semanas para mover los dientes sin usar brackets. Son cómodos y estéticamente agradables porque son casi invisibles.


Alineadores Invisibles / Transparentes (Invisalign)
Después de finalizar el tratamiento de ortodoncia, los retenedores ayudan a mantener los dientes en su nueva posición. Son esenciales para evitar que los dientes vuelvan a su ubicación original.


Retenedores Dentales
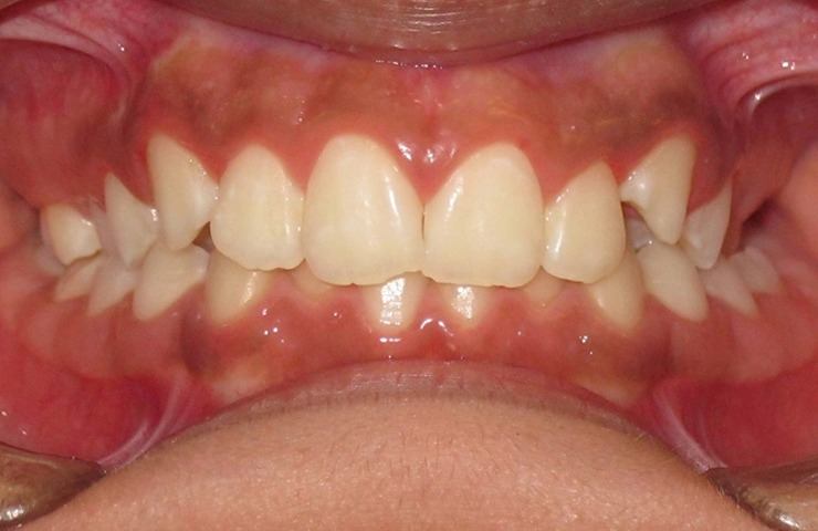
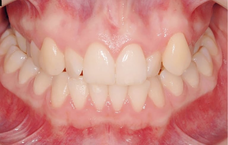
Se corrige cuando los dientes superiores sobresalen demasiado respecto a los dientes inferiores, lo que puede causar problemas de mordida y estética. Se utilizan dispositivos para alinear los dientes y mejorar la mordida.


Tratamiento de sobremordida
Se aborda cuando los dientes superiores e inferiores no se tocan al morder, lo que puede dificultar la masticación y la pronunciación. El tratamiento puede incluir el uso de aparatos y ejercicios ortodónticos.


Tratamiento de mordida abierta
Se corrige cuando algunos dientes superiores muerden por dentro de los dientes inferiores, lo que puede causar un desgaste desigual de los dientes y problemas en la mandíbula. Se utilizan brackets y otros aparatos para alinear los dientes correctamente.


Tratamiento de mordida cruzada
Se trata de la falta de espacio en la boca que causa que los dientes se amontonen. Se puede utilizar la expansión del paladar, extracción de dientes o brackets para crear el espacio necesario.


Tratamiento de apiñamiento dental
Se usa un dispositivo para ensanchar el paladar, lo que crea más espacio en la mandíbula superior. Esto es útil para tratar el apiñamiento y mejorar la alineación dental.


Expansores Palatinos
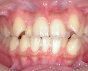
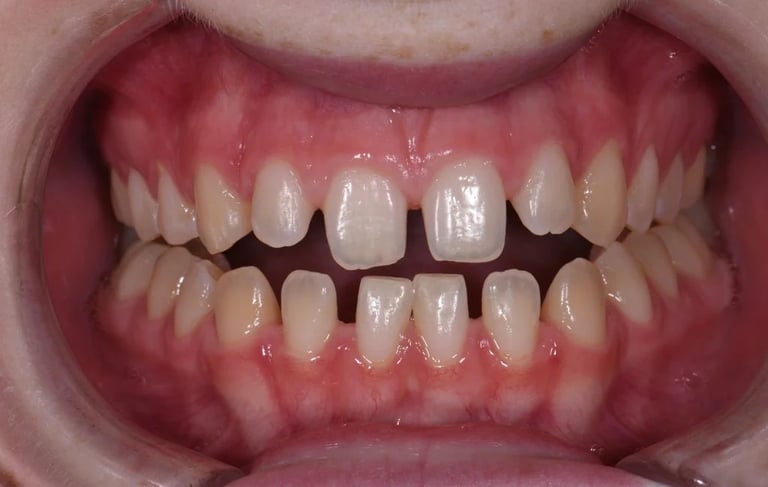
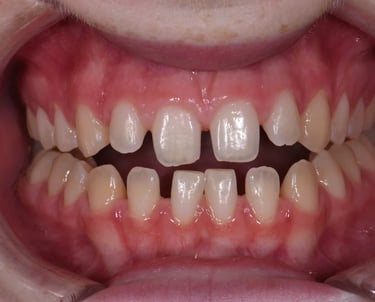
Se corrige el espacio o huecos entre los dientes, que puede ser causado por diferentes factores. El tratamiento puede incluir el uso de brackets, alineadores o otros aparatos ortodónticos.


Tratamiento de diastemas
Son dispositivos diseñados para mejorar la relación entre los dientes y las mandíbulas. Estos aparatos ayudan a guiar el crecimiento de la mandíbula y la alineación de los dientes, promoviendo un desarrollo adecuado y corrigiendo problemas funcionales y estéticos. Se utilizan especialmente en niños y adolescentes para aprovechar los periodos de crecimiento. Los aparatos funcionales pueden ser removibles o fijos y se ajustan a las necesidades específicas de cada paciente.


Uso de aparatos funcionales
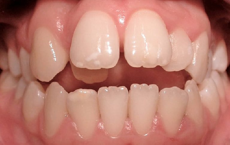
Se aborda cuando los dientes están demasiado avanzados hacia el frente. El tratamiento puede incluir el uso de brackets, alineadores y dispositivos para mover los dientes hacia una posición más adecuada.


Tratamiento de protrusión dental
Son dispositivos que el paciente puede quitar y poner, diseñados para ajustar la posición de los dientes o la mandíbula. Son útiles para tratamientos menos complejos y para mantener resultados tras un tratamiento principal.


Uso de aparatos removibles
Son dispositivos externos que se colocan en la cara para influir en el crecimiento de la mandíbula superior. Ayudan a corregir problemas de desarrollo y mejorar la alineación dental.


Colocación de máscaras faciales
Las recidivas ortodónticas ocurren cuando los dientes vuelven a su posición original después de un tratamiento de ortodoncia. Para corregir estas recidivas, se puede utilizar una variedad de métodos, dependiendo de la severidad del caso. Estos métodos incluyen el uso de retenedores adicionales, brackets nuevamente, o alineadores transparentes para mover los dientes a su posición correcta


Tratamiento de recidivas ortodónticas
Los mini tornillos ortodónticos son pequeños dispositivos de anclaje temporal que se insertan en el hueso de la mandíbula o el maxilar para proporcionar un punto fijo de apoyo durante el tratamiento ortodóntico. Se utilizan para realizar movimientos dentales específicos que serían difíciles de lograr solo con brackets o alineadores. Los mini tornillos permiten una mayor precisión y control en la alineación de los dientes


Mini Tornillos Ortodónticos
La cirugía ortognática es un procedimiento quirúrgico que se realiza para corregir irregularidades en los huesos de la mandíbula y el maxilar. Es necesaria cuando las discrepancias en la estructura ósea no pueden ser corregidas únicamente con tratamientos de ortodoncia.


Cirugía Ortognática
Son aparatos que se colocan en la parte inferior de la mandíbula para tratar problemas de crecimiento y alineación de la mandíbula inferior. Ayudan a mejorar la relación entre los dientes superiores e inferiores.