Cirugía Maxilofacial
"La Cirugía Maxilofacial esculpe con precisión y arte, transformando rostros y devolviendo la confianza."
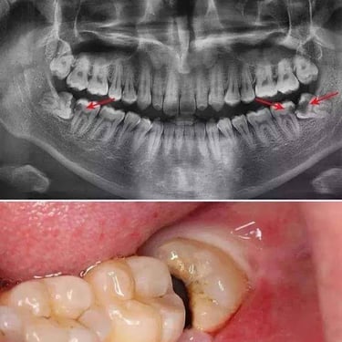
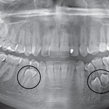
Extracción de Muelas del Juicio
La extracción de las muelas del juicio es un procedimiento quirúrgico para remover los terceros molares que pueden causar dolor, infección o daño a otros dientes debido a su posición o crecimiento anómalo.
Los pacientes pueden experimentar dolor, hinchazón y, en algunos casos, infección alrededor de estas muelas.
El tratamiento incluye la extracción quirúrgica para prevenir o resolver complicaciones.








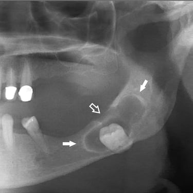
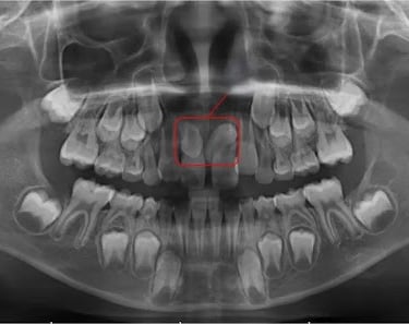
Quiste dentígero
Un quiste dentígero es un saco lleno de líquido que se forma alrededor de la corona de un diente no erupcionado.
Los pacientes pueden notar una hinchazón indolora en la mandíbula.
El tratamiento incluye la extirpación quirúrgica del quiste y, a veces, la extracción del diente involucrado.








Quiste odontogénico
Un quiste odontogénico es una lesión benigna que se desarrolla en los tejidos asociados con el desarrollo dental.
Los pacientes pueden experimentar hinchazón, dolor y movilidad dental.
El tratamiento incluye la extirpación quirúrgica del quiste y la evaluación para evitar recurrencias.




Absceso facial
Un absceso facial es una acumulación de pus en los tejidos faciales debido a una infección bacteriana.
Los pacientes pueden notar hinchazón, dolor intenso, fiebre y enrojecimiento en el área afectada.
El tratamiento incluye el drenaje quirúrgico del absceso y el uso de antibióticos para combatir la infección.




Infección postoperatoria
La infección postoperatoria puede ocurrir después de una cirugía maxilofacial, manifestándose con dolor, hinchazón, fiebre y supuración.
Los pacientes deben estar atentos a estos signos después de la cirugía.
El tratamiento incluye antibióticos y, en algunos casos, la limpieza quirúrgica del área afectada.








Mandíbula asimétrica
La asimetría mandibular es una desalineación de la mandíbula que puede causar problemas funcionales y estéticos.
Los pacientes pueden notar que una parte de la mandíbula es más prominente o desplazada.
El tratamiento incluye cirugía ortognática para realinear la mandíbula y mejorar la funcionalidad y apariencia.








Osteonecrosis de los maxilares
La osteonecrosis de los maxilares es la muerte del hueso mandibular o maxilar debido a una disminución del flujo sanguíneo, a menudo asociada con ciertos medicamentos o radioterapia.
Los pacientes pueden notar dolor, hinchazón y exposición del hueso.
El tratamiento incluye la eliminación del hueso muerto y medidas para mejorar la circulación sanguínea.








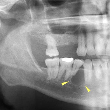
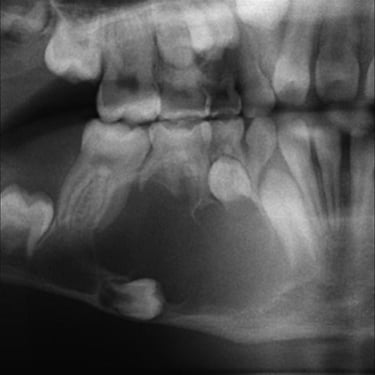
Dientes impactados
Los dientes impactados son dientes que no pueden erupcionar correctamente debido a la falta de espacio o a una obstrucción.
Los pacientes pueden notar que un diente no ha salido, aunque debería haberlo hecho. Esta condición es común con las muelas del juicio y los caninos superiores.
El tratamiento puede incluir la extracción del diente impactado o la creación de espacio para permitir su erupción.








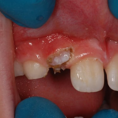
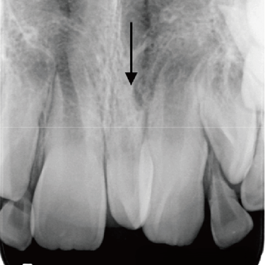
Dientes Supernumerarios
Los dientes supernumerarios son dientes adicionales que pueden aparecer en la boca y causar problemas de alineación o erupción de otros dientes.
Los pacientes pueden notar dientes adicionales en la boca, lo que puede causar apiñamiento o problemas estéticos.
El tratamiento incluye la extracción quirúrgica de los dientes supernumerarios.








Tumores mandibulares y maxilares
Los tumores en la mandíbula o el maxilar pueden ser benignos o malignos y pueden causar hinchazón, dolor y deformidad facial.
Los pacientes pueden notar un bulto o masa en la mandíbula o el maxilar.
El tratamiento incluye la extirpación quirúrgica del tumor y, en algunos casos, terapia adicional como radioterapia o quimioterapia








Neuralgia del trigémino
La neuralgia del trigémino es una afección crónica que causa dolor facial intenso y repentino en el área del nervio trigémino.
Los pacientes pueden experimentar dolor agudo y punzante en la cara.
El tratamiento incluye medicamentos anticonvulsivos y, en algunos casos, cirugía para aliviar la presión sobre el nervio








Fractura del maxilar
La fractura del maxilar es una ruptura del hueso maxilar superior, comúnmente resultado de un trauma facial.
Los pacientes pueden notar dolor, hinchazón, dificultad para abrir la boca y, a veces, nariz sangrante.
El tratamiento incluye cirugía para alinear y estabilizar el hueso, y puede involucrar placas y tornillos.








Fractura orbitaria
La fractura orbitaria es una ruptura de los huesos que rodean el ojo, a menudo causada por un golpe directo al área ocular
. Los pacientes pueden experimentar dolor, hinchazón, visión doble y movilidad limitada del ojo.
El tratamiento puede incluir cirugía para reparar la órbita y prevenir complicaciones oculares.








Fractura de mandíbula
La fractura de mandíbula es una ruptura del hueso mandibular, generalmente causada por un trauma significativo como un golpe o un accidente.
Los pacientes pueden experimentar dolor intenso, hinchazón, dificultad para masticar y hablar, y movilidad anormal de la mandíbula.
Es esencial realizar una cirugía para realinear y estabilizar el hueso fracturado.








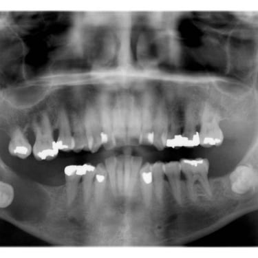
Ortognática (cirugía correctiva de mandíbula)
La cirugía ortognática corrige anomalías en los huesos de la mandíbula y el maxilar que afectan la mordida y la estética facial.
Los pacientes pueden notar dificultades para masticar, hablar y una apariencia facial desproporcionada.
El tratamiento incluye la planificación prequirúrgica y la cirugía para reposicionar los huesos.








Sunshine Bay Residence
Equipped with full air conditioning, a private pool, 3 on-suite bedrooms, and a spacious open living room kitchen area, Sunshine Bay Residences is an excellent choice for anyone dreaming of their own safe haven.








Sunshine Bay Residence
Equipped with full air conditioning, a private pool, 3 on-suite bedrooms, and a spacious open living room kitchen area, Sunshine Bay Residences is an excellent choice for anyone dreaming of their own safe haven.








Sunshine Bay Residence
Equipped with full air conditioning, a private pool, 3 on-suite bedrooms, and a spacious open living room kitchen area, Sunshine Bay Residences is an excellent choice for anyone dreaming of their own safe haven.








Sunshine Bay Residence
Equipped with full air conditioning, a private pool, 3 on-suite bedrooms, and a spacious open living room kitchen area, Sunshine Bay Residences is an excellent choice for anyone dreaming of their own safe haven.








Sunshine Bay Residence
Equipped with full air conditioning, a private pool, 3 on-suite bedrooms, and a spacious open living room kitchen area, Sunshine Bay Residences is an excellent choice for anyone dreaming of their own safe haven.







