Disfunción Temporomandibular
Consiste en un examen físico detallado de la mandíbula, los músculos masticatorios y la articulación temporomandibular (ATM). Se busca identificar dolor, rango de movimiento y sonidos articulares.


Evaluación clínica de trastornos temporomandibulares (TTM)
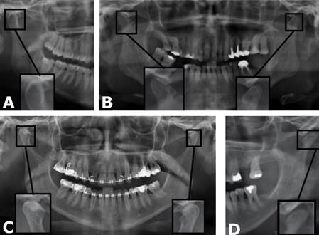
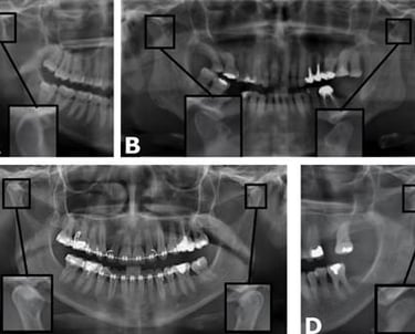
Se utilizan radiografías para visualizar la estructura ósea de la ATM, identificar problemas estructurales y evaluar la salud de la articulación.


Evaluación radiográfica de la articulación temporomandibular (ATM)
La resonancia magnética proporciona imágenes detalladas de los tejidos blandos, permitiendo evaluar el disco articular, los ligamentos y los músculos asociados a la ATM.


Evaluación mediante resonancia magnética de la ATM
La tomografía computarizada ofrece imágenes detalladas de los huesos de la ATM, útil para identificar anomalías óseas y evaluar fracturas o cambios degenerativos.


Evaluación mediante tomografía computarizada de la ATM
Se abordan los problemas en los músculos masticatorios con terapias físicas, medicamentos y técnicas de relajación.


Tratamiento de trastornos de los músculos masticatorios
Incluye terapias físicas, férulas oclusales y, en algunos casos, cirugía para corregir la posición del disco articular.


Tratamiento de desplazamiento discal
Se manejan los síntomas con medicamentos antiinflamatorios, terapia física y, en casos severos, cirugía.


Tratamiento de artritis de la ATM
Incluye medidas para aliviar el dolor, mejorar la función articular y prevenir el deterioro adicional.


Tratamiento de artrosis de la ATM
Se puede requerir cirugía para liberar la articulación y restaurar el movimiento mandibular.


Tratamiento de anquilosis de la ATM
Puede implicar la manipulación manual de la mandíbula, el uso de férulas y, en casos recurrentes, cirugía.


Tratamiento de luxación de la ATM
Incluye el uso de férulas para limitar el movimiento excesivo y terapias para fortalecer los músculos masticatorios


Tratamiento de hipermovilidad de la ATM
Se manejan con férulas nocturnas, técnicas de relajación y, a veces, medicamentos


Tratamiento de bruxismo
Incluye terapia física, masajes, técnicas de liberación de puntos gatillo y medicamentos.


Tratamiento de dolor miofascial
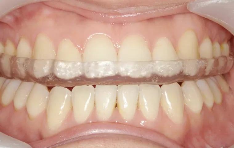
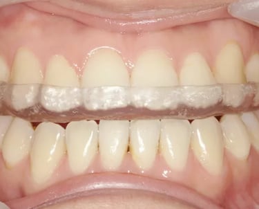
Se utilizan dispositivos que se colocan en la boca para estabilizar la mandíbula y aliviar el dolor y la disfunción.


Colocación de férulas oclusales
Ayuda a manejar el dolor y la disfunción mediante técnicas psicológicas para reducir el estrés y mejorar el manejo del dolor


Terapia cognitivo-conductual para TTM
Incluye técnicas como la meditación, la respiración profunda y otras prácticas para reducir la tensión muscular y el estrés.


Terapia de relajación para TTM
Se utilizan para relajar los músculos masticatorios y reducir el dolor asociado a TTM.


Inyecciones de toxina botulínica para TTM
Es un procedimiento mínimamente invasivo para diagnosticar y tratar problemas en la ATM mediante el uso de una pequeña cámara y herramientas quirúrgicas.


Cirugía artroscópica de la ATM
Incluye visitas regulares para monitorear el progreso del tratamiento, ajustar las terapias según sea necesario y asegurar la salud continua de la ATM.


Seguimiento y mantenimiento de pacientes con TTM
Sunshine Bay Residence
Equipped with full air conditioning, a private pool, 3 on-suite bedrooms, and a spacious open living room kitchen area, Sunshine Bay Residences is an excellent choice for anyone dreaming of their own safe haven.