Evaluación de Fracturas de la Corona
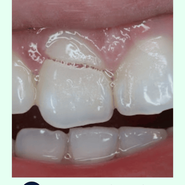
Importancia: Identificar fracturas en la corona del diente es esencial para planificar las reparaciones necesarias y evitar daños adicionales. Las fracturas de la corona pueden variar desde pequeñas fisuras hasta fracturas que afectan la estructura dental completa.
Evaluación inicial:
Las fracturas en la corona del diente pueden afectar desde el esmalte hasta la pulpa. Se revisa el diente y se toman radiografías para determinar si la fractura afecta la raíz o solo la parte externa.
Procedimiento:
Examen Clínico: El dentista examina visualmente el diente en busca de signos de fractura, como líneas de fractura, fragmentos de diente sueltos o cambios de color.
Prueba de Percusión: Se golpea suavemente el diente para evaluar la respuesta al tacto y determinar si hay dolor o sensibilidad.
Radiografías:
Radiografía Periapical: Se utiliza para evaluar el daño interno del diente y detectar cualquier fractura que no sea visible externamente.
Radiografía Panorámica: Puede ser útil para obtener una vista completa de todas las estructuras dentales y óseas circundantes.
Pruebas de Sensibilidad: Se pueden realizar pruebas de frío o calor para evaluar la vitalidad de la pulpa dental en el diente fracturado.
Instrumentos: Espejo dental, explorador dental, pruebas de percusión, radiografías.
Duración: Aproximadamente 2-5 minutos.
Incomodidades: Leve molestia durante las pruebas de percusión y sensibilidad.
Riesgos y fallas: Ninguno específico, aunque las fracturas de la corona pueden requerir diferentes tipos de tratamiento según la gravedad.
Resultados esperados: Dependiendo de la gravedad de la fractura, el tratamiento puede variar desde una simple restauración hasta un tratamiento de conducto o extracción si la fractura afecta la raíz.



